missing translation for 'onlineSavingsMsg'
Learn More
Learn More
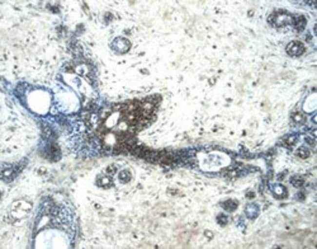
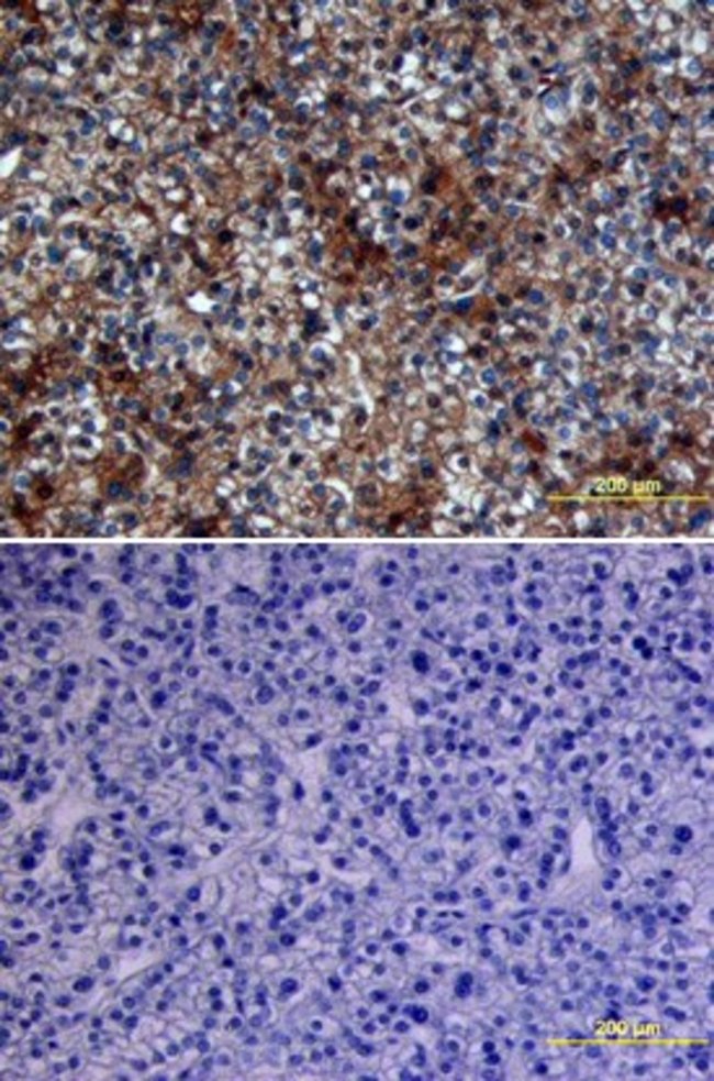
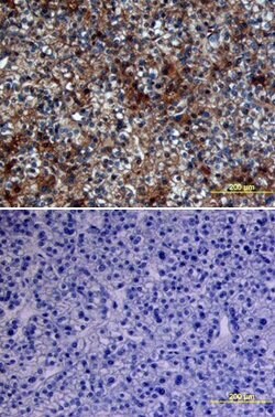
Invitrogen™ Glypican 3 Polyclonal Antibody

Description
In direct ELISAs, less than 10% cross-reactivity with recombinant mouse Glypican 3 is observed and less than 5% cross-reactivity with recombinant human (rh) Glypican 2, rhGlypican 5, and rhGlypican 6 is observed. Reconstitute at 0.2 mg/mL in sterile PBS.
GPC3 is a cell surface proteoglycan that bears heparan sulfate. This protein may be involved in the suppression/modulation of growth in the predominantly mesodermal tissues and organs, and may play a role in the modulation of IGF2 interactions with its receptor and thereby modulate its function. Members of the glypican-related integral membrane proteoglycan family contain a core protein anchored to the cytoplasmic membrane via a glycosyl phosphatidylinositol (GPI) linkage. These proteins may play a role in the control of cell division, growth regulation, and tumor predisposition. Deletion mutations in GPC3 are the cause of Simpson-Golabi-Behmel syndrome (SGBS), also known as Simpson dysmorphia syndrome (SDYS). SGBS is a condition characterized by pre- and postnatal overgrowth (gigantism) with visceral and skeletal anomalies.
Spécification
Spécification
| Antigène | Glypican 3 |
| Applications | ELISA, Flow Cytometry, Immunohistochemistry (Paraffin), Western Blot, Immunocytochemistry |
| Classification | Polyclonal |
| Concentration | 0.2 mg/mL |
| Conjugué | Unconjugated |
| Formule | PBS with 5% trehalose and No Preservative |
| Expression | GPC3 |
| Numéro d’ordre du gène | P51654 |
| Alias de gène | defective in Simpson-Golabi-Behmel overgrowth syndrome; DGSX; glypican 3; glypican proteoglycan 3; glypican-3; Glypican-3 alpha subunit; Glypican-3 beta subunit; Gpc3; GTR22; GTR2-2; heparan sulphate proteoglycan; intestinal protein OCI-5; MXR7; OCI5; OCI-5; proteoglycan GPC3; SDYS; secreted glypican-3; SGB; SGBS; SGBS1 |
| Symboles de gène(s) | GPC3 |
| Afficher plus |
Nom du produit
En cliquant sur Soumettre, vous reconnaissez que vous pouvez être contacté par Fisher Scientific au sujet des informations que vous avez fournies dans ce formulaire. Nous ne partagerons pas vos informations à d'autres fins. Toutes les informations de contact fournies seront également conservées conformément à notre politique de confidentialité. Politique de confidentialité.
Vous avez repéré une opportunité d'amélioration ?