missing translation for 'onlineSavingsMsg'
Learn More
Learn More
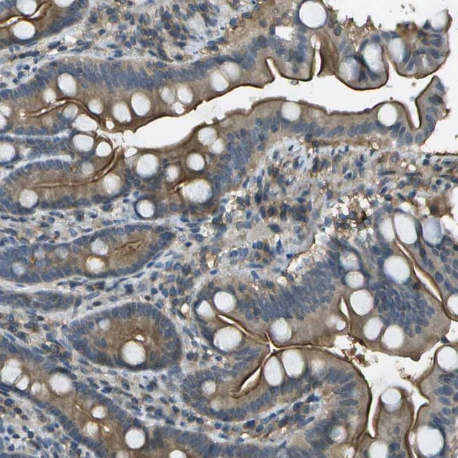
Description
Immunogen sequence: GTEQSLWDSQ MEFSKERQVS SSIDLLSIQQ PRLSGARAEE ALSAHYSEVP YGDPRDTGPS VFPPRWDSGL DVTPANKEPV QKSTPSDTCC ELESDCDSDE GSLFTLSSIS SESARSKTEE AVPDEESLQD ESSGASKD Highest antigen sequence identity to the following orthologs: Mouse - 46%, Rat - 41%.
This gene encodes a protein belonging to the leucine-rich repeat family of proteins, which are involved in diverse biological processes, including cell adhesion, cellular trafficking, and hormone-receptor interactions.
Spécification
Spécification
| Antigène | LRRC66 |
| Applications | Immunohistochemistry (Paraffin) |
| Classification | Polyclonal |
| Concentration | 0.05 mg/mL |
| Conjugué | Unconjugated |
| Formule | PBS with 40% glycerol and 0.02% sodium azide; pH 7.2 |
| Expression | LRRC66 |
| Numéro d’ordre du gène | Q68CR7 |
| Alias de gène | leucine rich repeat containing 66; leucine-rich repeat-containing protein 66; LRRC66 |
| Symboles de gène(s) | LRRC66 |
| Afficher plus |
Nom du produit
En cliquant sur Soumettre, vous reconnaissez que vous pouvez être contacté par Fisher Scientific au sujet des informations que vous avez fournies dans ce formulaire. Nous ne partagerons pas vos informations à d'autres fins. Toutes les informations de contact fournies seront également conservées conformément à notre politique de confidentialité. Politique de confidentialité.
Vous avez repéré une opportunité d'amélioration ?
