missing translation for 'onlineSavingsMsg'
Learn More
Learn More
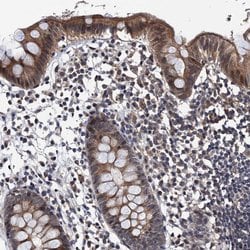
Description
Immunogen sequence: LVEEIKGEIL LKLGRLKEAS EVFKNLIDRN AENWCYYEGL EKALQISTLE ERLQIYEEIS KQHPKAITPR RLPLTLVPGE RF Highest antigen sequence identity to the following orthologs: Mouse - 79%, Rat - 84%.
NARG1L may belong to a complex displaying N-terminal acetyltransferase activity.
Spécification
Spécification
| Antigène | NAA16 |
| Applications | Immunohistochemistry (Paraffin), Western Blot, Immunocytochemistry |
| Classification | Polyclonal |
| Concentration | 0.2 mg/mL |
| Conjugué | Unconjugated |
| Formule | PBS with 40% glycerol and 0.02% sodium azide; pH 7.2 |
| Expression | NAA16 |
| Numéro d’ordre du gène | Q6N069 |
| Alias de gène | 1300019C06Rik; N(alpha)-acetyltransferase 16, NatA auxiliary subunit; NAA16; Nalpha acetyltransferase 16; N-alpha-acetyltransferase 16, NatA auxiliary subunit; Narg1l; NARG1-like protein; NAT2; NMDA receptor regulated 1-like protein; NMDA receptor-regulated 1-like protein; NMDA receptor-regulated 1-like protein-like protein |
| Symboles de gène(s) | NAA16 |
| Afficher plus |
Nom du produit
En cliquant sur Soumettre, vous reconnaissez que vous pouvez être contacté par Fisher Scientific au sujet des informations que vous avez fournies dans ce formulaire. Nous ne partagerons pas vos informations à d'autres fins. Toutes les informations de contact fournies seront également conservées conformément à notre politique de confidentialité. Politique de confidentialité.
Vous avez repéré une opportunité d'amélioration ?
