missing translation for 'onlineSavingsMsg'
Learn More
Learn More
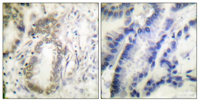
Invitrogen™ Phospho-C/EBP alpha (Ser21) Polyclonal Antibody

Description
A suggested positive control for Western blot is HepG2 cells; suggested positive control for IHC is human colon carcinoma.
The C/EBP (CCAAT/enhancer binding protein) family of transcription factors--alpha, beta, delta, and epsilon)--are widely expressed proteins found in a variety of tissues. These domains contain an evolutionarily conserved five-amino acid motif (the regulatory domain motif RDM) that conforms to the consensus sequence (I/V/L) KXEP. One of the major roles of these transcription factors is that of metabolic regulation in liver and fat cells. Studies suggest that these transcription factors act in a cascade aiding in the development of the adipose cell. Three C/EBP beta isoforms (LAP*, LAP, and LIP) arise from different translation initiation and display different function in gene regulation. From a neurological standpoint, C/EBPs have been implicated in the mediation of nerve growth factor, altering synaptic plasticity, and mediation of inflammatory response in AD patients.
Spécification
Spécification
| Antigène | Phospho-C/EBP alpha (Ser21) |
| Applications | Immunohistochemistry (Paraffin), Western Blot |
| Classification | Polyclonal |
| Concentration | 1 mg/mL |
| Conjugué | Unconjugated |
| Formule | PBS with 50% glycerol and 0.02% sodium azide; pH 7.4 |
| Expression | CEBPA |
| Numéro d’ordre du gène | P05554, P49715, P53566 |
| Alias de gène | C EBP; C/EBP; c/EBP alpha; C/EBPa; C/ebpalpha; C/EBP-alpha; CAAT/enhancer-binding protein DNA-binding protein; CAAT/enhancer-binding protein, DNA-binding protein; CBF-A; CCAAT enhancer binding protein alpha; CCAAT/enhancer binding protein (C/EBP), alpha; CCAAT/enhancer binding protein alpha; CCAAT/enhancer binding protein, alpha; CCAAT/enhancer-binding protein alpha; Cebp; Cebpa; DBPCEP; OTTHUMP00000220269 |
| Symboles de gène(s) | CEBPA |
| Afficher plus |
Nom du produit
En cliquant sur Soumettre, vous reconnaissez que vous pouvez être contacté par Fisher Scientific au sujet des informations que vous avez fournies dans ce formulaire. Nous ne partagerons pas vos informations à d'autres fins. Toutes les informations de contact fournies seront également conservées conformément à notre politique de confidentialité. Politique de confidentialité.
Vous avez repéré une opportunité d'amélioration ?