missing translation for 'onlineSavingsMsg'
Learn More
Learn More
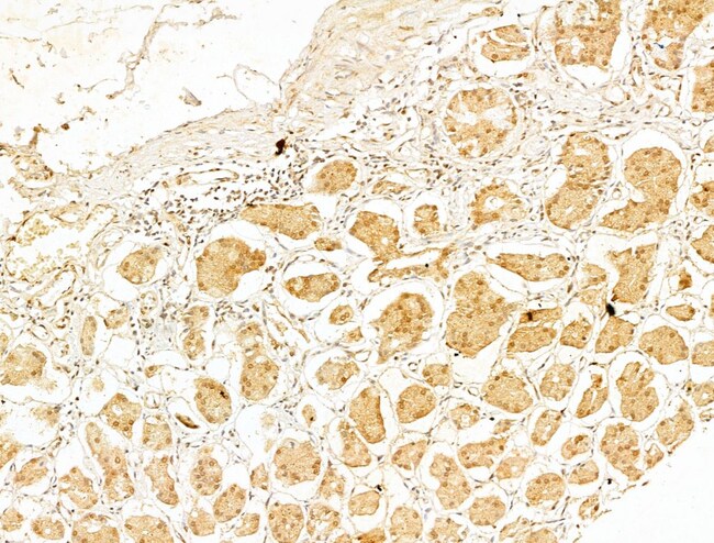
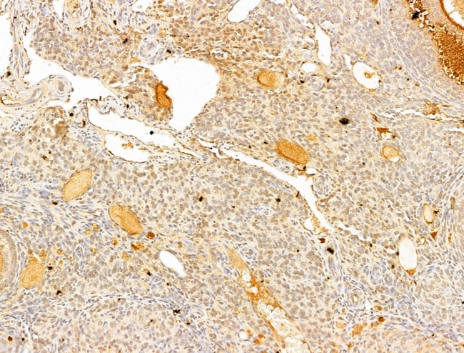
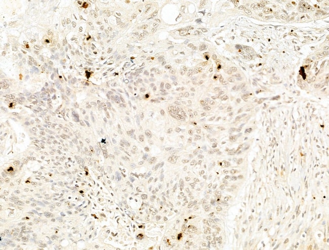
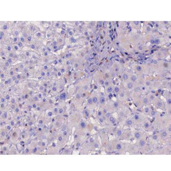
Invitrogen™ Phospho-IKK beta (Tyr188) Polyclonal Antibody

Description
Antibody detects endogenous levels of IKK beta only when phosphorylated at Tyrosine 188.
Phosphorylation of serine residues on the I-kappa-B proteins by IKK kinases, including IKBKB, marks them for destruction via the ubiquitination pathway, allowing activation of the NF-kappa-B complex. Inhibitor of nuclear factor kappa-B kinase subunit beta (IKK beta) is a serine kinase that plays an essential role in the NF-kaapa-B signaling pathway which is activated by mulitple stimuli such as inflammatory cytokines, bacterial, or viral products, DNA damages, or other cellular stresses. IKK beta acts as part of the canonical IKK complex in the conventional pathway of NF-kappa-B activation and phosphorylates inhibitors of NF-kappa-B on 2 critical serine residues. These modifications allow polyubiquitination of the inhibitors and subsequent degradation by the proteasome. In turn, free NF-kappa-B is translocated into the nucleus and activates the transcription of hundreds of genes involved in immune response, growth control, or protection against apoptosis. Mutations affecting the IKK beta gene can result in Immunodeficiency 15 (IMD15).
Spécification
Spécification
| Antigène | Phospho-IKK beta (Tyr188) |
| Applications | Immunohistochemistry (Paraffin), Western Blot, Immunocytochemistry |
| Classification | Polyclonal |
| Concentration | 1 mg/mL |
| Conjugué | Unconjugated |
| Formule | PBS with 50% glycerol and 0.02% sodium azide; pH 7.4 |
| Expression | Ikbkb |
| Numéro d’ordre du gène | O14920, O88351, Q9QY78 |
| Alias de gène | AI132552; AIM-1; FLJ40509; I-kappa-B kinase 2; I-kappa-B-kinase beta; Ikbkb; IKK[b]; IKK2; IKK-2; IKKB; IKK-B; IKKbeta; IKK-beta; IMD15; inhibitor of kappa light polypeptide gene enhancer in B-cells, kinase beta; inhibitor of kappaB kinase beta; inhibitor of nuclear factor kappa B kinase beta subunit; inhibitor of nuclear factor kappa-B kinase subunit beta; MGC131801; NFKBIKB; nuclear factor NF-kappa-B inhibitor kinase beta |
| Symboles de gène(s) | Ikbkb |
| Afficher plus |
Nom du produit
En cliquant sur Soumettre, vous reconnaissez que vous pouvez être contacté par Fisher Scientific au sujet des informations que vous avez fournies dans ce formulaire. Nous ne partagerons pas vos informations à d'autres fins. Toutes les informations de contact fournies seront également conservées conformément à notre politique de confidentialité. Politique de confidentialité.
Vous avez repéré une opportunité d'amélioration ?