missing translation for 'onlineSavingsMsg'
Learn More
Learn More
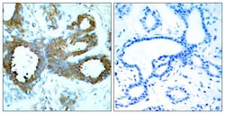
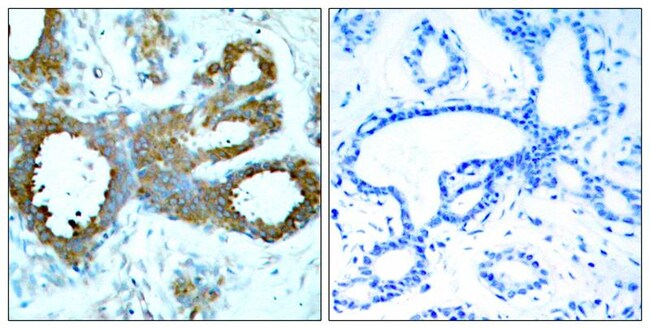
Invitrogen™ Phospho-PAK1/2/3 (Thr423, Thr402, Thr421) Polyclonal Antibody

Description
A suggested positive control for IHC is human breast carcinoma; suggested positive control for ICC/IF is Hela cells.
In mammals, there are several identified isoforms of p21-Activated Protein Kinases or PAKs: alpha-PAK (also known as PAK-1) and beta-PAK (also known as PAK-3) are mostly brain-specific, while gamma-PAK (also known as PAK-2) is expressed ubiquitously (Jakobi et al., 2003). Mutations of the gene coding for PAK-3 are associated wit X-linked mental retardation and recent work indicates that PAK-3 is a key regulator of synapse formation and plasticity in the hippocampus (Boda et al., 2004). PAK-3 is thought to play a key role in regulation of cell shape and motility as well as cell death (Jakobi et al., 2003; Walter et al., 1998). Autophosphorylation of Thr402 in the protein has been found to be essential for activation of PAK (Jakobi et al., 2000).
Spécification
Spécification
| Antigène | Phospho-PAK1/2/3 (Thr423, Thr402, Thr421) |
| Applications | Immunohistochemistry (Paraffin), Immunocytochemistry |
| Classification | Polyclonal |
| Concentration | 1 mg/mL |
| Conjugué | Unconjugated |
| Formule | PBS with 50% glycerol and 0.02% sodium azide; pH 7.4 |
| Expression | PAK2 |
| Numéro d’ordre du gène | O75914, O88643, P35465, Q13153, Q13177, Q61036, Q62829, Q64303, Q8CIN4 |
| Alias de gène | 5330420P17Rik; A130002K10Rik; activated protein kinase alpha; ADRB2; adriamycin resistance-associated; AI836325; Alpha-PAK; aPAK; ARA; AW045634; Beta-PAK; bPAK; CDC42/RAC effector kinase PAK-A; CDC42/RAC effector kinase PAK-B; CDKN1A; CLAP; C-t-PAK2; D16Ertd269e; EC 2.7.11.1; gamma pak; gamma-PAK; hPAK3; kinase PAK1; mKIAA4182; MRX30; MRX47; oligophrenin-3; OPHN3; p21 (CDKN1A)-activated kinase 1; p21 (CDKN1A)-activated kinase 2; p21 (CDKN1A)-activated kinase 3; p21 (RAC1) activated kinase 1; p21 (RAC1) activated kinase 2; p21 (RAC1) activated kinase 3; p21 protein (Cdc42/Rac)-activated kinase 1; p21 protein (Cdc42/Rac)-activated kinase 2; p21 protein (Cdc42/Rac)-activated kinase 3; p21/Cdc42/Rac1-activated kinase 1 (STE20 homolog, yeast); p21/Cdc42/Rac1-activated kinase 1 (yeast Ste20-related); p21/Cdc42/Rac1-activated kinase 3 (yeast Ste20-related); p21-activated kinase 1; p21-activated kinase 2; p21-activated kinase 3; p27; p34; p58; p65-PAK; p68-PAK; PAK 1; PAK alpha; PAK beta; PAK gamma; Pak1; PAK-1; Pak2; PAK-2; PAK-2p27; PAK-2p34; PAK3; PAK-3; PAK3beta; PAK65; Pak65alpha; Pak65beta; Paka; PAK-a; PAKalpha; Pakb; PAK-B; PAKgamma; PAK-y; Protein kinase MUK2; S6/H4 kinase; Serine/threonine-protein kinase PAK 1; serine/threonine-protein kinase PAK 2; Serine/threonine-protein kinase PAK 3; STE20 homolog, yeast; Stk4; yPAK |
| Symboles de gène(s) | Pak1, PAK2, PAK3 |
| Afficher plus |
Nom du produit
En cliquant sur Soumettre, vous reconnaissez que vous pouvez être contacté par Fisher Scientific au sujet des informations que vous avez fournies dans ce formulaire. Nous ne partagerons pas vos informations à d'autres fins. Toutes les informations de contact fournies seront également conservées conformément à notre politique de confidentialité. Politique de confidentialité.
Vous avez repéré une opportunité d'amélioration ?