missing translation for 'onlineSavingsMsg'
Learn More
Learn More
Invitrogen™ Phospho-SHP-1 (Tyr536) Polyclonal Antibody

Description
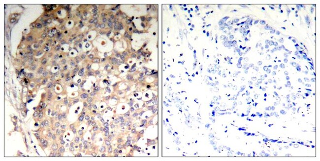
A suggested positive control for IHC is human breast carcinoma; suggested positive control for ICC/IF is Hela cells.
SHP-1 (PTPN6) is a non-receptor protein tyrosine phosphatase that is expressed primarily in hematopoietic cells. The enzyme is composed of two SH2 domains, a tyrosine phosphatase catalytic domain, and a carboxy-terminal regulatory domain. SHP-1 removes phosphates from target proteins to downregulate several tyrosine kinase-regulated pathways. In hematopoietic cells, the amino-terminal SH2 domain of SHP-1 binds to tyrosine phosphorylated erythropoietin receptors (EpoR) to negatively regulate hematopoietic growth. Overexpression of SHP-1 in epithelial cells results in dephosphorylation of the Ros receptor tyrosine kinase and subsequent downregulation of Ros-dependent cell proliferation and transformation. Following ligand binding in myeloid cells, SHP-1 associates with the IL-3R beta chain and downregulates IL-3-induced tyrosine phosphorylation and cell proliferation.
Specifications
Specifications
| Antigène | Phospho-SHP-1 (Tyr536) |
| Applications | Immunohistochemistry (Paraffin), Western Blot, Immunocytochemistry |
| Classification | Polyclonal |
| Concentration | 1 mg/mL |
| Conjugué | Unconjugated |
| Formule | PBS with 50% glycerol and 0.02% sodium azide; pH 7.4 |
| Expression | PTPN6 |
| Numéro d’ordre du gène | P29350, P29351, P81718 |
| Alias de gène | 70Z-SHP; EC 3.1.3.48; hcp; Hcph; hematopoietic cell phosphatase; hematopoietic cell protein-tyrosine phosphatase; HPTP1C; me; motheaten; protein tyrosine phosphatase, non-receptor type 6; protein-tyrosine phosphatase 1C; Protein-tyrosine phosphatase SHP-1; PTN6; Ptp1C; PTP-1C; Ptph6; PTPN6; PTPTY-42; SH2 phosphatase 1; SHP1; Shp-1; SHP-1L; SH-PTP1; Tyrosine-protein phosphatase non-receptor type 6 |
| Symboles de gène(s) | PTPN6 |
| Show More |
Product Title
By clicking Submit, you acknowledge that you may be contacted by Fisher Scientific in regards to the feedback you have provided in this form. We will not share your information for any other purposes. All contact information provided shall also be maintained in accordance with our Privacy Policy.
Spot an opportunity for improvement?