missing translation for 'onlineSavingsMsg'
Learn More

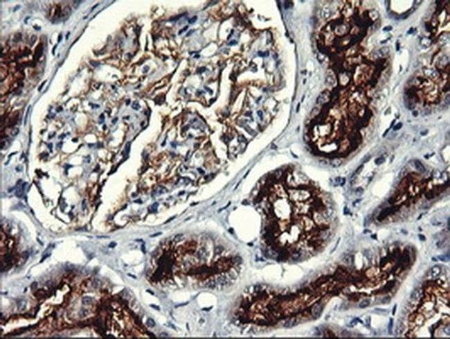
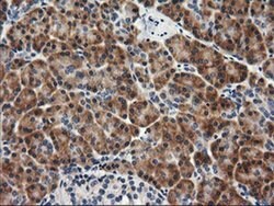
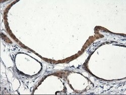
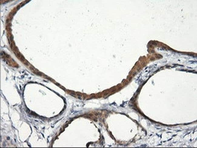
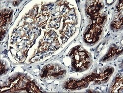
RGS16 Monoclonal Antibody (OTI4C9), TrueMAB™, OriGene

Code produit 17550632
Encompass_Preferred
Change view
Click to view available options
Quantité:
30 μL
100 μL
Conditionnement:
100µL
30µL
2 product options available for selection
Product selection table with 2 available options. Use arrow keys to navigate and Enter or Space to select.
Code produit Quantité unitSize
17550632 30 μL 30µL
17530632 100 μL 100µL
Use arrow keys to navigate between rows. Press Enter or Space to select a product option. 2 options available.
2 options
Les retours ne sont pas autorisés pour ce produit. Afficher la politique du retour.
Code produit 17550632 Fournisseur Origene Technologies Code fournisseur TA504032S

Veuillez vous pour pouvoir commander cet article. Besoin d'un compte web? Créer le vôtre dès maintenant!

Cet article nécessite une mise à jour du prix avant d'être commandé.

Demandez un prix pour cet article ici.

Les retours ne sont pas autorisés pour ce produit. Afficher la politique du retour.

Mouse Monoclonal Antibody

RGS16 Monoclonal antibody specifically detects RGS16 in Human, Mouse samples. It is validated for Immunocytochemistry, Immunohistochemistry (Paraffin), Western Blot

Spécification

Antigène RGS16
Applications Immunocytochemistry, Immunohistochemistry (Paraffin), Western Blot
Classification Monoclonal
Clone OTI4C9
Concentration 0.59 mg/mL
Conjugué Unconjugated
Formule PBS with 1% BSA, 50% glycerol and 0.02% sodium azide
Expression RGS16
Numéro d’ordre du gène O15492, P97428
Alias de gène A28-RGS14; A28-RGS14P; hRGS-r; regulator of G-protein signaling 16; regulator of G-protein signalling 16; Retinally abundant regulator of G-protein signaling; retinal-specific RGS; Rgs14; RGS16; RGSR; RGS-R
Espèces hôtes Mouse
Immunogène Full length human recombinant protein of human RGS16 produced in HEK293T cell.
Méthode de purification Affinity chromatography
Quantité 30 μL
État réglementaire RUO
Primaire ou secondaire Primary
Identification génétique (Entrez) 19734, 6004
Espèces cibles Human, Mouse
Contenu et stockage -20° C, Avoid Freeze/Thaw Cycles
Forme Liquid
Isotype IgG1
Afficher plus Afficher moins
Nom du produit
Sélectionnez un problème

En cliquant sur Soumettre, vous reconnaissez que vous pouvez être contacté par Fisher Scientific au sujet des informations que vous avez fournies dans ce formulaire. Nous ne partagerons pas vos informations à d'autres fins. Toutes les informations de contact fournies seront également conservées conformément à notre politique de confidentialité. Politique de confidentialité.