missing translation for 'onlineSavingsMsg'
Learn More
Learn More
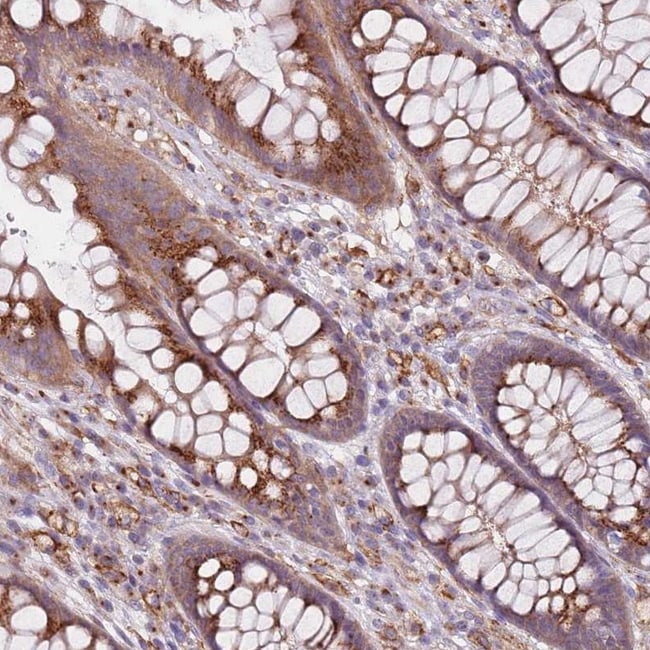
Invitrogen™ AKTIP Polyclonal Antibody

Rabbit Polyclonal Antibody
Marque: Invitrogen™ PA561209
Les retours ne sont pas autorisés pour ce produit.
Afficher la politique du retour.
Description
Immunogen sequence: LNPEAAVLYE KDIQLFKSKV VDSVKVCTAR LFDQPKIEDP YAISFSPWNP SVHDEAREKM LTQKKPEEQH NKSVHVAGLS WVKPGSVQPF SKEEK Highest antigen sequence identity to the following orthologs: Mouse - 99%, Rat - 99%.
Component of the FTS/Hook/FHIP complex (FHF complex). The FHF complex may function to promote vesicle trafficking and/or fusion via the homotypic vesicular protein sorting complex (the HOPS complex). Regulates apoptosis by enhancing phosphorylation and activation of AKT1. Increases release of TNFSF6 via the AKT1/GSK3B/NFATC1 signaling cascade.
Spécification
| AKTIP | |
| Polyclonal | |
| Unconjugated | |
| AKTIP | |
| AKT interacting protein; AKT-interacting protein; AKTIP; AL023020; Fif; Ft; FT1; FTS; fused toes homolog; Fused toes protein; Fused toes protein homolog; thymoma viral proto-oncogene 1 interacting protein | |
| Rabbit | |
| Antigen affinity chromatography | |
| RUO | |
| 14339, 291906, 64400 | |
| Store at 4°C short term. For long term storage, store at -20°C, avoiding freeze/thaw cycles. | |
| Liquid |
| Immunohistochemistry (Paraffin), Western Blot | |
| 0.4 mg/mL | |
| PBS with 40% glycerol and 0.02% sodium azide; pH 7.2 | |
| Q5FVH4, Q64362, Q9H8T0 | |
| AKTIP | |
| Recombinant protein corresponding to Human AKTIP. Recombinant protein control fragment (Product #RP-98739). | |
| 100 μL | |
| Primary | |
| Human, Mouse, Rat | |
| Antibody | |
| IgG |
Correction du contenu d'un produit
Veuillez fournir vos retours sur le contenu du produit en remplissant le formulaire ci-dessous.
Nom du produit
Vous avez repéré une opportunité d'amélioration ?Partager une correction de contenu