missing translation for 'onlineSavingsMsg'
Learn More

Invitrogen™ Amphiphysin Polyclonal Antibody

Rabbit Polyclonal Antibody

Marque:  Invitrogen™ PA582702

Code nomenclature Nacres: NA.46

Code produit. 16329664

  • 524.00€ / 100µL

Veuillez vous pour pouvoir commander cet article. Besoin d'un compte web? Créer le vôtre dès maintenant!

Les retours ne sont pas autorisés pour ce produit. Afficher la politique du retour.

Description

Description

Immunogen sequence: PGFLYKVETL HDFEAANSDE LTLQRGDVVL VVPSDSEADQ DAGWLVGVKE SDWLQYRDLA TYKGLFPENF TRRL Highest antigen sequence indentity to the following orthologs: Mouse - 99%, Rat - 99%.

Amphiphysins, members of the BAR (Bin-Amphiphysin-Rvsp) protein super family, play a key role in clathrin-mediated endocytosis of synaptic vesicles (SVs). All members of the BAR family share a highly conserved N-terminal BAR domain and a C-terminal Src homology (SH3) domain. Two isoforms of amphiphysin have been identified and act in concert as a heterodimer. Amphiphysins interact via its carboxy-terminal SH3 domain with dynamin, synaptojanin and clathrin. These complexes are implicated in synaptic vesicle recycling at nerve terminal. Amphiphysins were also identified as the dominant autoantigen in paraneoplastic Stiff-Man Syndrome.
TRUSTED_SUSTAINABILITY
Spécification

Spécification

Amphiphysin
Polyclonal
Unconjugated
Amph
Amph; AMPH1; amphiphysin; amphiphysin (Stiff-Mann syndrome with breast cancer 128kD autoantigen); amphiphysin 1; amphiphysin I; HGNC:471
Rabbit
Antigen affinity chromatography
RUO
273
Store at 4°C short term. For long term storage, store at -20°C, avoiding freeze/thaw cycles.
Liquid
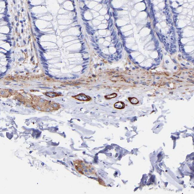
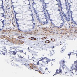
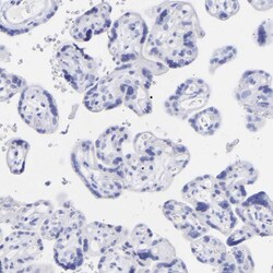
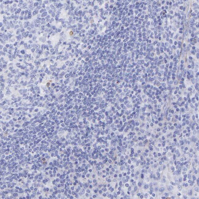
Immunohistochemistry (Paraffin), Western Blot, Immunocytochemistry
0.4 mg/mL
PBS with 40% glycerol and 0.02% sodium azide; pH 7.2
P49418
Amph
Recombinant protein corresponding to Human AMPH. Recombinant protein control fragment (Product #RP-92625).
100 μL
Primary
Human
Antibody
IgG
Suggestions de produits

Suggestions de produits

Vidéos
FDS
Documents

Documents

Certificats
Promotions

Promotions

Correction du contenu d'un produit

Veuillez fournir vos retours sur le contenu du produit en remplissant le formulaire ci-dessous.

Nom du produit

En cliquant sur Soumettre, vous reconnaissez que vous pouvez être contacté par Fisher Scientific au sujet des informations que vous avez fournies dans ce formulaire. Nous ne partagerons pas vos informations à d'autres fins. Toutes les informations de contact fournies seront également conservées conformément à notre politique de confidentialité. Politique de confidentialité.

Merci de nous aider à améliorer notre site web. Votre commentaire a été soumis