missing translation for 'onlineSavingsMsg'
Learn More

Hsp60 Mouse, Unlabeled, Clone: 24/HSP60, BD

Mouse Monoclonal Antibody

Marque:  BD Biosciences 611563

Code nomenclature Nacres: NA.46

 Afficher plus de versions de ce produit

Code produit. 15815979

  • ONLINE EXCLUSIVE PRICE
    334.00€
    333.84€ / 1 kit
    Économisez 0.16€
    0.05% de réduction

Veuillez vous pour pouvoir commander cet article. Besoin d'un compte web? Créer le vôtre dès maintenant!

Les retours ne sont pas autorisés pour ce produit. Afficher la politique du retour.

Description

Description

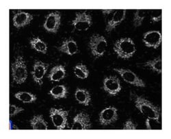
Heat shock proteins (Hsp) are a set of highly conserved proteins that include constitutively expressed (Hsp60, Hsp70, and Hsp90) and stress-induced (Hsp27 and Hsp72) proteins. Hsp60 is localized to the mitochondria, where it promotes mitochondrial protein folding and facilitates proteolytic degradation of misfolded or denatured proteins. It binds Hsp10, which regulates the substrate binding and ATPase activity of Hsp60. In HeLa and Jurkat mitochondria, Hsp60 associates with caspase-3 to form a complex that dissociates and releases from the mitochondria during apoptosis. In addition, Hsp60 accelerates the maturation of procaspase-3 through its ATP-dependent “foldase” activity. In addition to its role in protein folding, Hsp60 has also been implicated in immune function. In macrophages, its binding to the toll-like receptor-4 complex induces production of TNFα and nitric oxide and stimulation of a proinflammatory response. Thus, the protein folding function of Hsp60 is involved in mitochondrial protein folding in both normal and apoptotic cells, while release of Hsp60 during necrosis is thought to stimulate a proinflammatory response.

Host Species: Mouse
Clone: 24
Isotype: IgG1
Species Reactivity: Human
Immunogen: Human Hsp60 aa. 1-200
Formula Weight [Chemical]: 60kDa

Immunofluorescence, Western Blotting

TRUSTED_SUSTAINABILITY
Spécification

Spécification

Hsp60
Monoclonal
250μg/mL
Aqueous buffered solution containing BSA, glycerol, and ≤0.09% sodium azide.
Human Hsp60 aa. 1-200
150 μg
Cell Biology
Human, Mouse, Rat
IgG1
Western Blot
24/HSP60
Unconjugated
Mouse
Affinity Purified
RUO
Primary
Store undiluted at -20°C.
Suggestions de produits

Suggestions de produits

Vidéos
FDS
Documents

Documents

Certificats
Promotions

Promotions

Correction du contenu d'un produit

Veuillez fournir vos retours sur le contenu du produit en remplissant le formulaire ci-dessous.

Nom du produit

En cliquant sur Soumettre, vous reconnaissez que vous pouvez être contacté par Fisher Scientific au sujet des informations que vous avez fournies dans ce formulaire. Nous ne partagerons pas vos informations à d'autres fins. Toutes les informations de contact fournies seront également conservées conformément à notre politique de confidentialité. Politique de confidentialité.

Merci de nous aider à améliorer notre site web. Votre commentaire a été soumis

For Research Use Only.