missing translation for 'onlineSavingsMsg'
Learn More

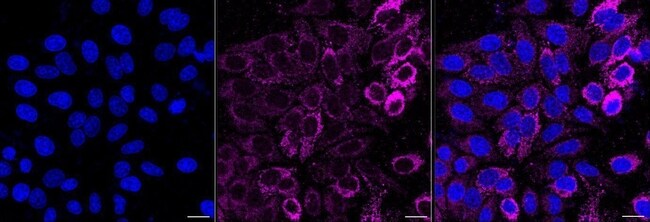
Invitrogen™ ATP Synthase beta Recombinant Rabbit Monoclonal Antibody (23GB3255), Invitrogen™

Rabbit Recombinant Monoclonal Antibody

Marque:  Invitrogen™ MA553615

Code nomenclature Nacres: NA.46

 Afficher plus de versions de ce produit

Code produit. 30088701

  • 207.00€ / 20µL

Veuillez vous pour pouvoir commander cet article. Besoin d'un compte web? Créer le vôtre dès maintenant!

Les retours ne sont pas autorisés pour ce produit. Afficher la politique du retour.

Description

Description

ATP synthase is extremely conserved through evolution and can be found in plants, fungi, bacteria, and animals. The ATP synthase enzyme is a transmembrane protein responsible for driving the reversible reaction from ADP+ phosphate to ATP. This reaction is accomplished by a flux of protons across the membrane as a result of electron transfer. The ATP synthase protein has two main sections; the F1 ATP-ase (soluble) and the F0 ATP-ase (membrane embedded). The F1 section consists of the alpha, beta, gamma, delta, and epsilon subunits. While the F0 consists of a, b, and c subunits.
TRUSTED_SUSTAINABILITY
Spécification

Spécification

ATP Synthase beta
Recombinant Monoclonal
Unconjugated
ATP5F1B
ATP synthase F1 subunit beta; ATP synthase subunit beta, mitochondrial; ATP synthase, H+ transporting mitochondrial F1 complex, alpha subunit; ATP synthase, H+ transporting mitochondrial F1 complex, beta subunit; ATP synthase, H+ transporting, mitochondrial F1 complex, beta polypeptide; Atp5b; ATP5F1B; ATPMB; ATPSB; beta-subunit; epididymis secretory protein Li 271; f1-ATPase beta; F1-ATPase beta-subunit; F-1-ATPase beta-subunit precursor; fj13e04; fj55c09; HEL-S-271; hm:zehn0534; hypothetical protein LOC554135; im:6793121; MGC5231; mitochondrial ATP synthase beta subunit; mitochondrial ATP synthase subunit beta subunit; mitochondrial ATP synthase, H+ transporting F1 complex beta subunit; mitochondrial ATP synthetase, beta subunit; wu:fj13e04; wu:fj38d01; wu:fj55c09; zgc:111961
Rabbit
Affinity chromatography
RUO
11947, 171374, 506
-20°C
Liquid
Flow Cytometry, Immunohistochemistry (Paraffin), Western Blot, Immunocytochemistry
23GB3255
PBS with 50% glycerol and 0.02% sodium azide; pH 7.4
P06576, P10719, P56480
ATP5F1B
A synthetic peptide of human ATPB (140-200AA).
20 μL
Primary
Human, Mouse, Rat
Antibody
IgG
Suggestions de produits

Suggestions de produits

Vidéos
FDS
Documents

Documents

Certificats
Promotions

Promotions

Correction du contenu d'un produit

Veuillez fournir vos retours sur le contenu du produit en remplissant le formulaire ci-dessous.

Nom du produit

En cliquant sur Soumettre, vous reconnaissez que vous pouvez être contacté par Fisher Scientific au sujet des informations que vous avez fournies dans ce formulaire. Nous ne partagerons pas vos informations à d'autres fins. Toutes les informations de contact fournies seront également conservées conformément à notre politique de confidentialité. Politique de confidentialité.

Merci de nous aider à améliorer notre site web. Votre commentaire a été soumis