missing translation for 'onlineSavingsMsg'
Learn More

Invitrogen™ CaV1.1 Monoclonal Antibody (1A)

Mouse Monoclonal Antibody

Marque:  Invitrogen™ MA3920

Code nomenclature Nacres: NA.46

Code produit. 11545802

  • 536.00€ / 200µL

Veuillez vous pour pouvoir commander cet article. Besoin d'un compte web? Créer le vôtre dès maintenant!

Les retours ne sont pas autorisés pour ce produit. Afficher la politique du retour.

Description

Description

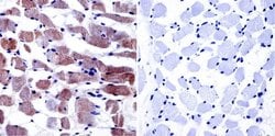
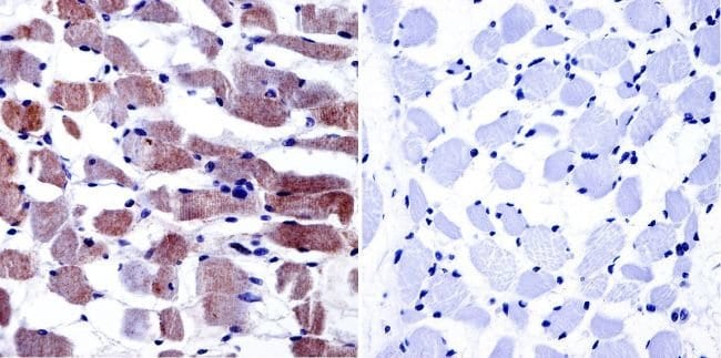
MA3-920 detects 1,4-dihydropyridine (DHP) receptor alpha-1 subunit in human, rat, mouse, guinea pig and rabbit skeletal muscle. The DHP Receptor alpha-1 protein is also known as CACNA1S or Cav1.1 alpha-1 subunit. MA3-920 has been successfully used in Western blot, FACS, immunohistochemistry and immunoprecipitation procedures. By Western blot, this antibody detects an ~200 kDa protein representing the DHP receptor in rat skeletal muscle extracts. Immunohistochemical staining of DHP receptor in rabbit skeletal muscle with MA3-920 results in double rows of discrete punctate staining representing pairs of triads on the opposing sides of the Z-lines. This product can be used to inhibit the DHP-sensitive calcium current in BC3H1 mouse muscle cells. The MA3-920 antigen is purified rabbit muscle T-tubule DHP receptor.

Voltage-sensitive calcium channels mediate the entry of calcium into many types of excitable cells and thus play a key role in neurotransmitter release and excitation-contraction (E-C) coupling. The 1,4-dihydropyridines (DHPs) are synthetic organic compounds which can be used to identify the L-type calcium channels that are found in all types of vertebrate muscle, neuronal and neuroendocrine cells. The DHP receptor is part of the L-type calcium channel complex and is thought to be the voltage sensor in E-C coupling. The purified DHP receptor isolated from triads is composed of at least four subunits. The alpha-1 subunit contains the binding site for the DHPs and shows high sequence homology to the voltage gated sodium channel. The alpha-2 subunit is a large glycoprotein associated with the DHP receptor which was first described in skeletal muscle and is also found in high concentrations in other excitable tissues such as cardiac muscle and brain and in low concentrations in most other tissues studied. The other two subunits that co-purify with the DHP receptor are termed beta and gamma.
TRUSTED_SUSTAINABILITY
Spécification

Spécification

CaV1.1
Monoclonal
1 mg/mL
PBS with 0.05% sodium azide; pH 7.4
P07293, Q02485, Q02789, Q13698
CACNA1S
Purified rabbit muscle T-tubule dihydropyridine receptor.
200 μL
Primary
Guinea Pig, Human, Mouse, Rabbit, Rat
Antibody
IgG1
Flow Cytometry, Immunohistochemistry (Frozen), Immunohistochemistry (Paraffin), Immunoprecipitation, Western Blot
1A
Unconjugated
CACNA1S
AW493108; CACH1; Cacn1; Cacna1s; Cacnl1a3; calcium channel, L type, alpha 1 polypeptide, isoform 3 (skeletal muscle, hypokalemic periodic paralysis); calcium channel, L type, alpha-1 polypeptide, isoform 3, skeletal muscle; calcium channel, voltage-dependent, L type, alpha 1S subunit; calcium voltage-gated channel subunit alpha1 S; Cav1.1; Cav1.1 alpha-1; CCHL1A3; DHP; DHPR; DHPR alpha1s; dihydropyridine calcium channel receptor protein; dihydropyridine receptor; dihydropyridine receptor alpha 1 subunit; dihydropyridine receptor alpha 1S; dihydropyridine receptor alpha-1S subunit; dihydropyridine-sensitive L-type calcium channel alpha-1 subunit; fmd; HOKPP; HOKPP1; hypoPP; mdg; MHS5; muscle dysgenesis; ROB1; sj; TTPP1; unnamed protein product; voltage-dependent L-type calcium channel subunit alpha-1S; Voltage-gated calcium channel subunit alpha Cav1.1
Mouse
Protein A
RUO
100009585, 100734741, 12292, 682930, 779
-20°C, Avoid Freeze/Thaw Cycles
Liquid
Suggestions de produits

Suggestions de produits

Vidéos
FDS
Documents

Documents

Certificats
Promotions

Promotions

Correction du contenu d'un produit

Veuillez fournir vos retours sur le contenu du produit en remplissant le formulaire ci-dessous.

Nom du produit

En cliquant sur Soumettre, vous reconnaissez que vous pouvez être contacté par Fisher Scientific au sujet des informations que vous avez fournies dans ce formulaire. Nous ne partagerons pas vos informations à d'autres fins. Toutes les informations de contact fournies seront également conservées conformément à notre politique de confidentialité. Politique de confidentialité.

Merci de nous aider à améliorer notre site web. Votre commentaire a été soumis