missing translation for 'onlineSavingsMsg'
Learn More
Learn More
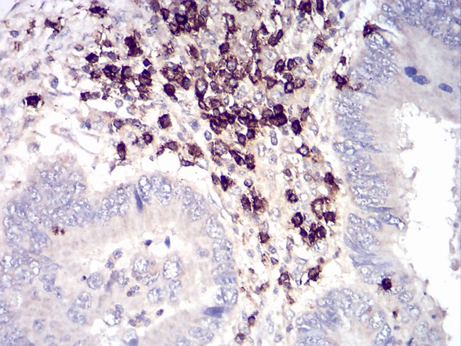
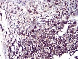
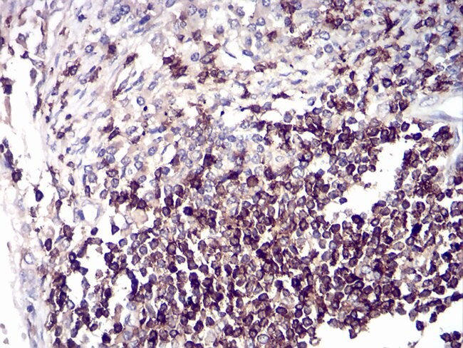
Invitrogen™ CD6 Monoclonal Antibody (5A10A2)

Mouse Monoclonal Antibody
Marque: Invitrogen™ MA538488
Les retours ne sont pas autorisés pour ce produit.
Afficher la politique du retour.
Description
This antibody has been tested in indirect ELISA.
CD6, also known as T12, is a member of the scavenger receptor superfamily found on T and B cell subsets, thymocytes, and acute lymphocytic leukemia cells (ALL). CD6 interacts with its ligand CD166/ALCAM (activated leukocyte cell adhesion molecule) and serves as a coreceptor for T cell activation and stabilizer of the immunological synapse. CD6-ALCAM mediated cell adhesion is also important for T cell proliferation. CD6 may exert some its functions via association with CD5, probably by fine-tuning CD5 signaling. Ligation of CD6 has antiapoptotic role in chronic lymphocytic leukemia B cells.
Spécification
| CD6 | |
| Monoclonal | |
| 1 mg/mL | |
| PBS with 0.05% sodium azide | |
| P30203 | |
| CD6 | |
| Purified recombinant fragment of human CD6 (aa: 18-199) expressed in E. Coli. | |
| 100 μg | |
| Primary | |
| Human | |
| Antibody | |
| IgG2b |
| ELISA, Flow Cytometry, Immunohistochemistry (Paraffin), Western Blot, Immunocytochemistry | |
| 5A10A2 | |
| Unconjugated | |
| CD6 | |
| Cd6; CD6 antigen; CD6 antigen, Tp120; Cd6 molecule; FLJ44171; OX52; Soluble CD6; T12; T-cell differentiation antigen CD6; TP120 | |
| Mouse | |
| Protein G | |
| RUO | |
| 923 | |
| Store at 4°C short term. For long term storage, store at -20°C, avoiding freeze/thaw cycles. | |
| Liquid |
Correction du contenu d'un produit
Veuillez fournir vos retours sur le contenu du produit en remplissant le formulaire ci-dessous.
Nom du produit
Vous avez repéré une opportunité d'amélioration ?Partager une correction de contenu