missing translation for 'onlineSavingsMsg'
Learn More

Coatomer protein complex, subunit zeta 2 Antibody, Novus Biologicals™

Rabbit Polyclonal Antibody

Marque:  Novus Biologicals NBP2-30435

Code nomenclature Nacres: NA.46

 Afficher plus de versions de ce produit

Code produit. 18183603

  • 589.00€ / 0.10mL

Veuillez vous pour pouvoir commander cet article. Besoin d'un compte web? Créer le vôtre dès maintenant!

Les retours ne sont pas autorisés pour ce produit. Afficher la politique du retour.

Description

Description

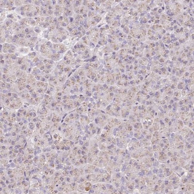
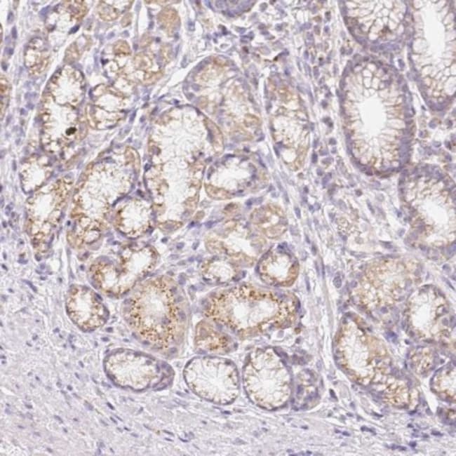
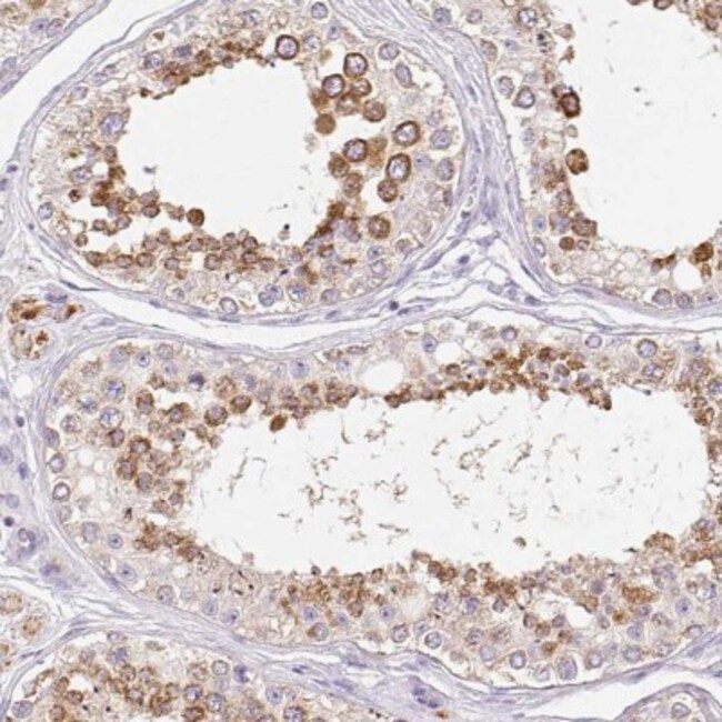
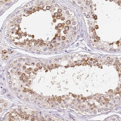
Coatomer protein complex, subunit zeta 2 Polyclonal specifically detects Coatomer protein complex, subunit zeta 2 in Human samples. It is validated for Immunohistochemistry, Immunohistochemistry-Paraffin.
TRUSTED_SUSTAINABILITY
Spécification

Spécification

Coatomer protein complex, subunit zeta 2
Polyclonal
Immunohistochemistry, Immunohistochemistry-Paraffin 1:20 - 1:50
Q9P299
COPZ2
This antibody was developed against a recombinant protein corresponding to amino acids: DPQQVIQKVNFRADDGGLTEQSVAQV
0.1 mL
Primary
Specificity of antibody verified on a Protein Array containing target protein plus 383 other non-specific proteins.
Store at 4C short term. Aliquot and store at -20C long term. Avoid freeze-thaw cycles.
Immunohistochemistry, Immunohistochemistry (Paraffin)
Unconjugated
PBS (pH 7.2) and 40% Glycerol with 0.02% Sodium Azide
coatomer protein complex, subunit zeta 2, coatomer subunit zeta-2, MGC23008, nonclathrin coat protein zeta-COP, zeta-2 coat protein, Zeta-2 COP, Zeta-2-coat protein, zeta2-COP
Rabbit
Affinity Purified
RUO
51226
Human
IgG
Suggestions de produits

Suggestions de produits

Vidéos
FDS
Documents

Documents

Certificats
Promotions

Promotions

Correction du contenu d'un produit

Veuillez fournir vos retours sur le contenu du produit en remplissant le formulaire ci-dessous.

Nom du produit

En cliquant sur Soumettre, vous reconnaissez que vous pouvez être contacté par Fisher Scientific au sujet des informations que vous avez fournies dans ce formulaire. Nous ne partagerons pas vos informations à d'autres fins. Toutes les informations de contact fournies seront également conservées conformément à notre politique de confidentialité. Politique de confidentialité.

Merci de nous aider à améliorer notre site web. Votre commentaire a été soumis

For Research Use Only