missing translation for 'onlineSavingsMsg'
Learn More
Learn More
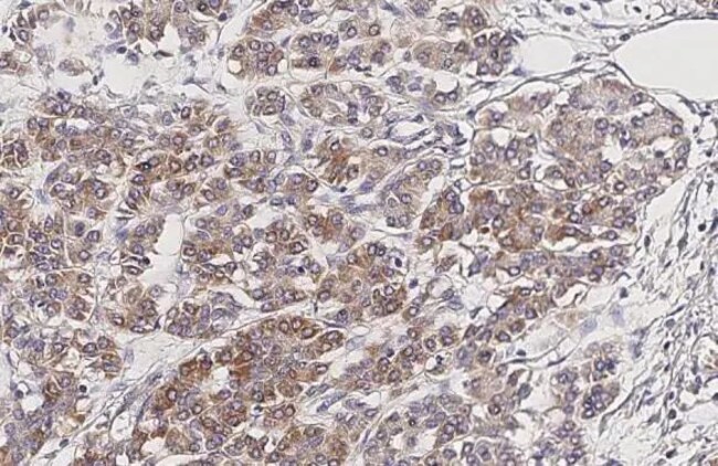
Invitrogen™ CXCR2 Recombinant Rabbit Monoclonal Antibody (HL2604)

Rabbit Recombinant Monoclonal Antibody
Marque: Invitrogen™ MA556663
Les retours ne sont pas autorisés pour ce produit.
Afficher la politique du retour.
Description
CXCR2 Recombinant Monoclonal Antibody for Western Blot, IHC (P), ICC/IF
CXCR2 is a receptor for interleukin-8, which is a powerful neutrophil chemotactic factor. It is a member of the GPCR family. Binding of IL-8 to the receptor causes activation of neutrophils. This response is mediated via a G-protein that activate a phosphatidylinositol-calcium second messenger system. This receptor binds to IL-8 with a high affinity and to GRO/MGSA and NAP-2 also with a high affinity. It has been reported to be expressed in a wide variety of tissues. ESTs have been isolated from human placenta and thymus libraries.
Spécification
| CXCR2 | |
| Recombinant Monoclonal | |
| 1 mg/mL | |
| PBS with no preservative | |
| P25025 | |
| CXCR2 | |
| Synthetic peptide encompassing a sequence within the Extracellular domain of human CXCR2. The exact sequence is proprietary. | |
| 100 μL | |
| Primary | |
| Human | |
| Antibody | |
| IgG |
| Immunohistochemistry (Paraffin), Western Blot, Immunocytochemistry | |
| HL2604 | |
| Unconjugated | |
| CXCR2 | |
| C Cmotif chemokine; C X C motif chemokine; CC motif chemokine; CCmotif chemokine; CD128; CD182; CD182 antigen; CDw128; CDw128b; chemokine (C-X-C motif) receptor 2; chemokine (CXC) receptor 2; chemokine (C-X-C) receptor 2; Cmkar2; CXC; C-X-C chemokine receptor type 2; CXC motif chemokine; C-X-C motif chemokine receptor 2; Cxcr2; CXC-R2; CXCR-2; CXCR2 gene for IL8 receptor type B; Gpcr16; GRO/MGSA receptor; high affinity interleukin-8 receptor B; IL-8 receptor alpha chain; Il-8 receptor b; IL-8 receptor beta; IL-8 receptor type 2; IL-8R B; IL8R2; IL8RA; Il8rb; IL-8rb; IL-8Rh; interleukin 8 receptor B; interleukin 8 receptor type 2; interleukin 8 receptor, beta; interleukin-8 receptor type B; mIL-8RH | |
| Rabbit | |
| Protein A | |
| RUO | |
| 3579 | |
| -20°C, Avoid Freeze/Thaw Cycles | |
| Liquid |
Correction du contenu d'un produit
Veuillez fournir vos retours sur le contenu du produit en remplissant le formulaire ci-dessous.
Nom du produit
Vous avez repéré une opportunité d'amélioration ?Partager une correction de contenu