missing translation for 'onlineSavingsMsg'
Learn More

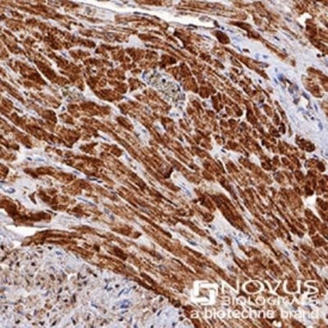
Cytochrome c Antibody (7H8.2C12) - Azide and BSA Free, Novus Biologicals™

Mouse Monoclonal Antibody

Marque:  Novus Biologicals NBP2-80686

Code nomenclature Nacres: NA.46

Code produit. 18085576

  • 581.00€ / 0.10mg

Veuillez vous pour pouvoir commander cet article. Besoin d'un compte web? Créer le vôtre dès maintenant!

Les retours ne sont pas autorisés pour ce produit. Afficher la politique du retour.

Description

Description

Cytochrome c Monoclonal specifically detects Cytochrome c in Human, Mouse, Rat, Drosophila, Rabbit samples. It is validated for Western Blot, Simple Western, Flow Cytometry, Immunohistochemistry, Immunocytochemistry/Immunofluorescence, Immunohistochemistry-Paraffin, Immunoblotting, Flow (Cell Surface), Flow (Intracellular), CyTOF-ready.
TRUSTED_SUSTAINABILITY
Spécification

Spécification

Cytochrome c
Monoclonal
1 mg/mL
Western Blot : 0.05-0.5 ug/ml, Simple Western : 2.5 ug/ml, Flow Cytometry : 1:20-1:2000, Immunohistochemistry : 1:10-1:500, Immunocytochemistry/Immunofluorescence 1:10-1:500. Use reported in scientific literature (Yamasaki et al (2006)), Immunohistochemistry-Paraffin 1:10-1:500. Use reported in scientific literature (Fujimara et al (1998)), Immunoblotting reported in scientific literature (PMID 16436379), Flow (Cell Surface) reported in scientific literature (PMID 16467206), Flow (Intracellular) reported in scientific literature (Mohr et al (2004)), CyTOF-ready
CYCHCS, cytochrome c, cytochrome c, somatic, THC4
Mouse
Protein G purified
RUO
Primary
Human, Mouse, Rat, Drosophila, Rabbit
Purified
Western Blot, Flow Cytometry, Immunohistochemistry, Immunocytochemistry, Immunofluorescence, Immunohistochemistry (Paraffin), Immunoblot, CyTOF
7H8.2C12
Unconjugated
PBS
CYCS
Synthetic peptides corresponding to amino acids 1-80, 81-104 and 66-104 of pigeon CYT were used as the immunogen (Jemmerson et al. 1991). The antibody recognizes an epitope within amino acids 93-104 of pigeon cytochrome C based on competitive ELISA results (Jemmerson et al. 1991).
0.1 mg
Apoptosis, Cellular Markers, Cholesterol Metabolism, Core ESC Like Genes, Lipid and Metabolism, Mitochondrial Markers, Stem Cell Markers
54205
Store at 4°C short term. Aliquot and store at -20°C long term. Avoid freeze-thaw cycles.
IgG2b κ
Suggestions de produits

Suggestions de produits

Vidéos
FDS
Documents

Documents

Certificats
Promotions

Promotions

Correction du contenu d'un produit

Veuillez fournir vos retours sur le contenu du produit en remplissant le formulaire ci-dessous.

Nom du produit

En cliquant sur Soumettre, vous reconnaissez que vous pouvez être contacté par Fisher Scientific au sujet des informations que vous avez fournies dans ce formulaire. Nous ne partagerons pas vos informations à d'autres fins. Toutes les informations de contact fournies seront également conservées conformément à notre politique de confidentialité. Politique de confidentialité.

Merci de nous aider à améliorer notre site web. Votre commentaire a été soumis