missing translation for 'onlineSavingsMsg'
Learn More

EZH2/KMT6 Antibody (CL11915), Novus Biologicals™

Mouse Monoclonal Antibody

Marque:  Novus Biologicals NBP3-21204-100ul

Code nomenclature Nacres: NA.46

 Afficher plus de versions de ce produit

Code produit. 18632685

  • 600.00€ / 100µL

Veuillez vous pour pouvoir commander cet article. Besoin d'un compte web? Créer le vôtre dès maintenant!

Les retours ne sont pas autorisés pour ce produit. Afficher la politique du retour.

Description

Description

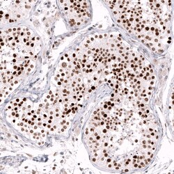
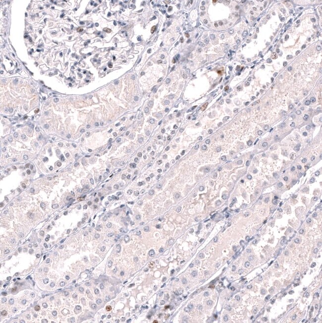
EZH2/KMT6 Monoclonal antibody specifically detects EZH2/KMT6 in Human samples. It is validated for Western Blot, Immunohistochemistry, Immunofluorescence, Immunohistochemistry (Paraffin)
TRUSTED_SUSTAINABILITY
Spécification

Spécification

EZH2/KMT6
Monoclonal
Unconjugated
PBS, pH 7.2, 40% glycerol
Mouse
Protein A purified
RUO
Primary
Human
Purified
Western Blot, Immunohistochemistry, Immunofluorescence, Immunohistochemistry (Paraffin)
CL11915
Western Blot 1 ug/ml, Immunohistochemistry 1:200 - 1:500, Immunocytochemistry/Immunofluorescence 2-10 ug/ml, Immunohistochemistry-Paraffin 1:200 - 1:500
EC 2.1.1, EC 2.1.1.43, enhancer of zeste (Drosophila) homolog 2, enhancer of zeste 2, Enhancer of zeste homolog 2, enhancer of zeste homolog 2 (Drosophila), ENX1, ENX-1KMT6EZH1KMT6A, histone-lysine N-methyltransferase EZH2, Lysine N-methyltransferase 6, MGC9169
This antibody was developed against a Synthetic Peptide of Q15910. Actual immunogen sequence is proprietary.
100 μg
Breast Cancer, Cancer, Chromatin Research, Phospho Specific, Prostate Cancer
2146
Store at 4C short term. Aliquot and store at -20C long term. Avoid freeze-thaw cycles.
IgG2b
Suggestions de produits

Suggestions de produits

Vidéos
FDS
Documents

Documents

Certificats
Promotions

Promotions

Correction du contenu d'un produit

Veuillez fournir vos retours sur le contenu du produit en remplissant le formulaire ci-dessous.

Nom du produit

En cliquant sur Soumettre, vous reconnaissez que vous pouvez être contacté par Fisher Scientific au sujet des informations que vous avez fournies dans ce formulaire. Nous ne partagerons pas vos informations à d'autres fins. Toutes les informations de contact fournies seront également conservées conformément à notre politique de confidentialité. Politique de confidentialité.

Merci de nous aider à améliorer notre site web. Votre commentaire a été soumis