missing translation for 'onlineSavingsMsg'
Learn More
Learn More
Invitrogen™ GAPDH Recombinant Rabbit Monoclonal Antibody (PD00-07)

Rabbit Recombinant Monoclonal Antibody
Marque: Invitrogen™ MA544674
Les retours ne sont pas autorisés pour ce produit.
Afficher la politique du retour.
Description
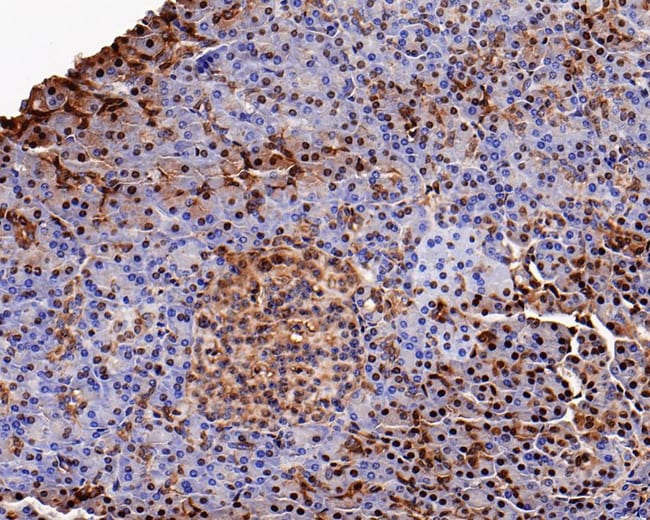
GAPDH Recombinant Monoclonal Antibody for Western Blot, ICC/IF, IHC (P), Flow
GAPDH (Glyceraldehyde-3-phosphate dehydrogenase) is a catalytic enzyme commonly known to be involved in glycolysis. GAPDH exists as a tetramer of identical 37-kDa subunits and catalyzes the reversible reduction of 1,3-bisphosphoglycerate to glyceraldehyde 3-phosphophate in the presence of NADPH. Apart from playing a key role in glycolysis, GAPDH is ubiquitously expressed and displays other activities unrelated to its glycolytic function. GAPDH is reported to be involved in the processes of DNA replication, DNA repair, nuclear RNA export, membrane fusion and microtubule bundling. Studies provide evidence of GAPDH playing an essential part in gene expression observed in apoptosis and as part of the cellular phenotype of age-related neurodegenerative diseases. Further, GAPDH is involved in other cellular processes ranging from membrane fusion, and neuronal apoptosis in cancer. GAPDH is reported to bind to a variety of other proteins, including the amyloid precursor protein, mutations in which cause some forms of Alzheimer's disease (AD), and the polyglutamine tracts of Huntingtin, the protein product aberrant forms of which are causative of Huntington's disease. Associations between GAPDH, actin and tubulin have also be reported. Since GAPDH is expressed at high levels in most tissues, it is useful as protein loading control in Western Blot analysis.
Spécification
| GAPDH | |
| Recombinant Monoclonal | |
| 1 mg/mL | |
| PBS with 0.1% BSA, 40% glycerol and 0.05% sodium azide; pH 7.4 | |
| O14556, P04406, P04797, P16858, Q64467, Q9ESV6 | |
| GAPDH, GAPDHS | |
| Recombinant protein within mouse GAPDH aa 94-333/333. | |
| 100 μL | |
| Primary | |
| Human, Mouse, Rat | |
| Antibody | |
| IgG |
| Flow Cytometry, Immunohistochemistry (Paraffin), Western Blot, Immunocytochemistry | |
| PD00-07 | |
| Unconjugated | |
| GAPDHS | |
| 38 kDa BFA-dependent ADP-ribosylation substrate; aging-associated gene 9 protein; BARS-38; bb02e05; cb350; cb609; CDABP0047; EC 1.2.1.12; epididymis secretory protein Li 278; epididymis secretory sperm binding protein Li 162eP; fb71f08; fk58c09; G3PD; G3PDH; GAPD; GAPD2; gapdh; GAPDH2; GAPDH-2; GAPDHS; Gapds; Gapd-s; glceraldehyde-3-phosphate dehydrogenase; glyceraldehyde 3-phosphate dehydrogenase; glyceraldehyde 3-phosphate dehydrogenase, testis-specific; glyceraldehyde phosphate dehydrogenase; glyceraldehyde-3-phosphate dehydrogenase; glyceraldehyde-3-phosphate dehydrogenase (G3PDH); glyceraldehyde-3-phosphate dehydrogenase 2; glyceraldehyde-3-phosphate dehydrogenase GAPDH; glyceraldehyde-3-phosphate dehydrogenase like-17 protein; glyceraldehyde-3-phosphate dehydrogenase type 2; glyceraldehyde-3-phosphate dehydrogenase, spermatogenic; glyceraldehyde-3-phosphate dehydrogenase, testis-specific; glyceraldehyde-phosphate-dehydrogenase; glycerine aldehyde 3-phosphate dehydrogenase; HEL-S-162eP; HEL-S-278; HGNC:4141; HSD35; HSD-35; I79_001391; KNC-NDS6; LOW QUALITY PROTEIN: glyceraldehyde-3-phosphate dehydrogenase, testis-specific; mg:bb02e05; MGC128279 protein; MGC88685; multifunctional protein, glycolytic enzyme; OK/SW-cl.12; Peptidyl-cysteine S-nitrosylase GAPDH; similar to glyceraldehyde 3-phosphate dehydrogenase; spermatogenic cell-specific glyceraldehyde 3-phosphate dehydrogenase 2; Spermatogenic glyceraldehyde-3-phosphate dehydrogenase; Unknown (protein for IMAGE:8101613); unnamed protein product; wu:fb33a10; wu:fb71f08; wu:fk58c09; wu:ft80f05; zgc:76908 | |
| Rabbit | |
| Protein A | |
| RUO | |
| 14433, 14447, 24383, 2597, 26330, 66020 | |
| Store at 4°C short term. For long term storage, store at -20°C, avoiding freeze/thaw cycles. | |
| Liquid |
Correction du contenu d'un produit
Veuillez fournir vos retours sur le contenu du produit en remplissant le formulaire ci-dessous.
Nom du produit
Vous avez repéré une opportunité d'amélioration ?Partager une correction de contenu