Learn More
Invitrogen™ GCC2 Polyclonal Antibody

Rabbit Polyclonal Antibody
Marque: Invitrogen™ PA589457
Description
Immunogen sequence: MEDLVQDGVA SPATPGTGKS KLETLPKEDL IKFAKKQMML IQKAKSRCTE LEKEIEELRS KPVTEGTGDI IKALTERLDA LLLEKAETEQ QCLSLKKENI KMKQEVEDSV TKMGDAHKEL EQSHINYVKE IENLKNELMA VRSKYSEDKA NLQKQLEEAM NTQLELSEQL KFQNNSEDNV KKLQEEIEKI RPGFEEQILY LQKQLDATTD EKKETVTQLQ NIIEANSQHY QKNINSLQEE LLQLKAIHQE EVKELMCQIE ASAKEHEAEI NKLNELKENL VKQCEASEKN IQKKYECELE; Positive Samples: HeLa, LO2, 22Rv1, Raji, SGC-7901, 293T; Cellular Location: Cytoplasm, Golgi apparatus, Peripheral membrane protein, trans-Golgi network membrane.
The protein encoded by this gene is a peripheral membrane protein localized to the trans-Golgi network. It is sensitive to brefeldin A. This encoded protein contains a GRIP domain which is thought to be used in targeting. Alternative splicing results in multiple transcript variants.
Spécification
| GCC2 | |
| Polyclonal | |
| Unconjugated | |
| GCC2 | |
| 0610043A03Rik; 185 kDa Golgi coiled-coil protein; 2210420P05Rik; 2600014C01Rik; AW112121; CLL-associated antigen KW-11; CTCL tumor antigen se1-1; GCC protein, 185-kD; GCC185; GCC2; Golgi coiled-coil protein GCC185; GRIP and coiled-coil domain containing 2; GRIP and coiled-coil domain-containing protein 2; KIAA0336; mKIAA0336; Ran-binding protein 2-like 4; RanBP2L4; REN53; Renal carcinoma antigen NY-REN-53 | |
| Rabbit | |
| Affinity chromatography | |
| RUO | |
| 70297, 9648 | |
| -20°C, Avoid Freeze/Thaw Cycles | |
| Liquid |
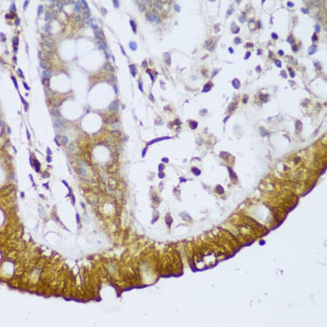
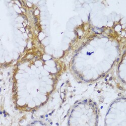
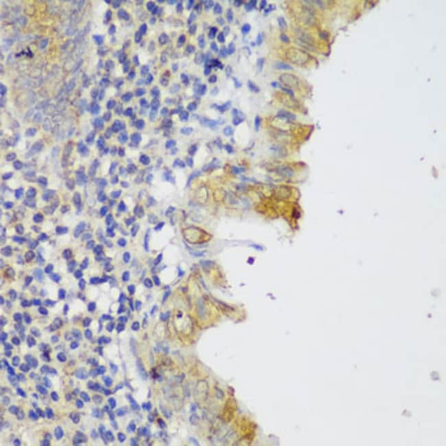
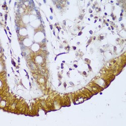
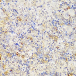
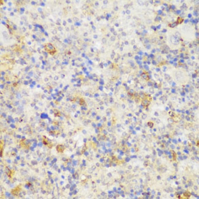
| ELISA, Immunohistochemistry (Paraffin), Western Blot | |
| 1.98 mg/mL | |
| PBS with 50% glycerol and 0.01% thimerosal; pH 7.3 | |
| Q8CHG3, Q8IWJ2 | |
| GCC2 | |
| Recombinant protein (or fragment) | |
| 100 μL | |
| Primary | |
| Human, Mouse | |
| Antibody | |
| IgG |
Veuillez fournir vos retours sur le contenu du produit en remplissant le formulaire ci-dessous.