missing translation for 'onlineSavingsMsg'
Learn More
Learn More
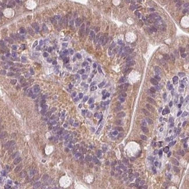
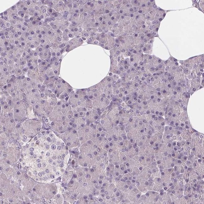
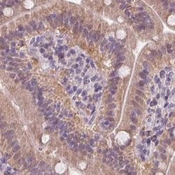
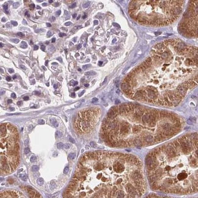
Invitrogen™ HAAO Polyclonal Antibody

Rabbit Polyclonal Antibody
Marque: Invitrogen™ PA559826
Les retours ne sont pas autorisés pour ce produit.
Afficher la politique du retour.
Description
Immunogen sequence: PLSLFGDTYE TQVIAYGQGS SEGLRQNVDV WLWQLEGSSV VTMGGRRLSL APDDSLLVLA GTSYAWERTQ GSVALSVTQD P Highest antigen sequence identity to the following orthologs: Mouse - 81%, Rat - 81%.
HAAO (3-Hydroxyanthranilate 3, 4-dioxygenase) is a monomeric cytosolic protein of the family of intramolecular dioxygenases containing non-heme ferrous iron. It is widely distributed in peripheral organs, such as liver and kidney, and is present in low amounts in the central nervous system. This enzyme participates in tryptophan metabolism. It employs one cofactor, iron. HAAO catalyzes the synthesis of quinolinic acid (QUIN) from 3-hydroxyanthranilic acid. QUIN is an excitotoxin whose toxicity is mediated by its ability to activate glutamate N-methyl-D-aspartate receptors. Increased cerebral levels of QUIN may participate in the pathogenesis of neurological and inflammatory disorders. HAAO has been suggested to play a role in disorders associated with altered tissue levels of QUIN. Furthermore, recent study shows that HAAO are excellent candidate biomarkers for detecting ovarian cancer.
Spécification
| HAAO | |
| Polyclonal | |
| Unconjugated | |
| HAAO | |
| 0610007K21Rik; 0610012J07Rik; 3HAO; 3-HAO; 3-HAO {ECO:0000255; 3-HAOxase; 3-hydroxyanthranilate 3,4-dioxygenase; 3-hydroxyanthranilate 3,4-dioxygenase {ECO:0000255; 3-hydroxyanthranilate oxygenase; 3-hydroxyanthranilate oxygenase {ECO:0000255; 3-hydroxyanthranilic acid dioxygenase; 3-hydroxyanthranilic acid dioxygenase {ECO:0000255; Haao; HAD; HAD {ECO:0000255; HAMAP-Rule:MF_03019}; HAO | |
| Rabbit | |
| Antigen affinity chromatography | |
| RUO | |
| 23498 | |
| Store at 4°C short term. For long term storage, store at -20°C, avoiding freeze/thaw cycles. | |
| Liquid |
| Immunohistochemistry (Paraffin) | |
| 0.1 mg/mL | |
| PBS with 40% glycerol and 0.02% sodium azide; pH 7.2 | |
| P46952 | |
| HAAO | |
| Recombinant protein corresponding to Human HAAO. Recombinant protein control fragment (Product #RP-104132). | |
| 100 μL | |
| Primary | |
| Human | |
| Antibody | |
| IgG |
Correction du contenu d'un produit
Veuillez fournir vos retours sur le contenu du produit en remplissant le formulaire ci-dessous.
Nom du produit
Vous avez repéré une opportunité d'amélioration ?Partager une correction de contenu