missing translation for 'onlineSavingsMsg'
Learn More

Invitrogen™ Hemoglobin Polyclonal Antibody, Invitrogen™

Rabbit Polyclonal Antibody

Marque:  Invitrogen™ PA5145342

Code nomenclature Nacres: NA.46

 Afficher plus de versions de ce produit

Code produit. 17910113

  • 185.00€ / 20µL

Veuillez vous pour pouvoir commander cet article. Besoin d'un compte web? Créer le vôtre dès maintenant!

Les retours ne sont pas autorisés pour ce produit. Afficher la politique du retour.

Description

Description

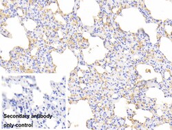
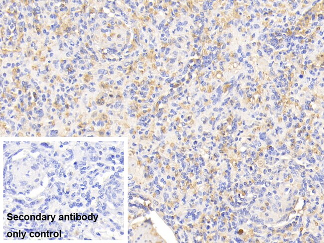
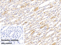
The human alpha globin gene cluster located on chromosome 16 spans about 30 kb and includes seven loci: 5'- zeta - pseudozeta - mu - pseudoalpha-1 - alpha-2 - alpha-1 - theta - 3'. The alpha-2 (HBA2) and alpha-1 (HBA1) coding sequences are identical. These genes differ slightly over the 5' untranslated regions and the introns, but they differ significantly over the 3' untranslated regions. Two alpha chains plus two beta chains constitute HbA, which in normal adult life comprises about 97% of the total hemoglobin; alpha chains combine with delta chains to constitute HbA-2, which with HbF (fetal hemoglobin) makes up the remaining 3% of adult hemoglobin. Alpha thalassemias result from deletions of each of the alpha genes as well as deletions of both HBA2 and HBA1; some nondeletion alpha thalassemias have also been reported.
TRUSTED_SUSTAINABILITY
Spécification

Spécification

Hemoglobin
Polyclonal
Unconjugated
HBB
alpha one globin; alpha-1 globin; alpha-1-globin; alpha-2 globin chain; Alpha-globin; ALPHA-GLOBIN GENE; delta globin; Haemoglobin; Hb; HBA1; HbA1c; HBA2; HBA-T3; HBH; hemoglobin alpha 1 globin chain; Hemoglobin alpha chain; Hemoglobin subunit alpha; hemoglobin subunit alpha 1; hemoglobin, alpha 1
Rabbit
Antigen affinity chromatography, Protein A
RUO
3039, 3043
Store at 4°C short term. For long term storage, store at -20°C, avoiding freeze/thaw cycles.
Liquid
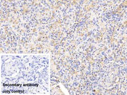
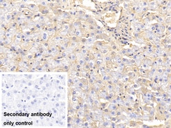
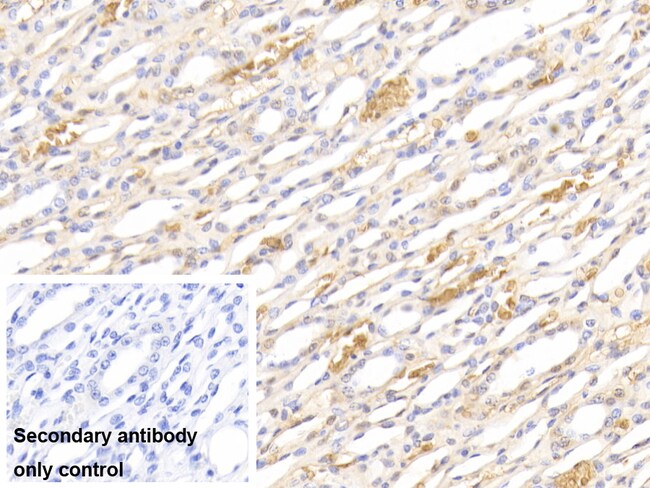
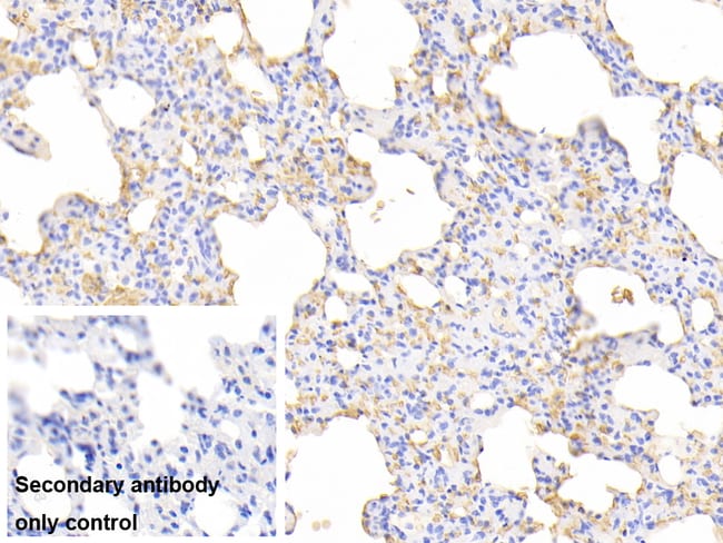
Immunohistochemistry (Paraffin), Western Blot
0.5 mg/mL
PBS with 50% glycerol and 0.05% Proclin 300; pH 7.4
P68871, P69905
HBA1, HBB
Native Dog HB protein (Accession #P60529;P60524).
20 μL
Primary
Canine, Human
Antibody
IgG
Suggestions de produits

Suggestions de produits

Vidéos
FDS
Documents

Documents

Certificats
Promotions

Promotions

Correction du contenu d'un produit

Veuillez fournir vos retours sur le contenu du produit en remplissant le formulaire ci-dessous.

Nom du produit

En cliquant sur Soumettre, vous reconnaissez que vous pouvez être contacté par Fisher Scientific au sujet des informations que vous avez fournies dans ce formulaire. Nous ne partagerons pas vos informations à d'autres fins. Toutes les informations de contact fournies seront également conservées conformément à notre politique de confidentialité. Politique de confidentialité.

Merci de nous aider à améliorer notre site web. Votre commentaire a été soumis