missing translation for 'onlineSavingsMsg'
Learn More

IKK alpha Antibody, Novus Biologicals™

Rabbit Polyclonal Antibody

Marque:  Novus Biologicals NBP2-99049-100ul

Code nomenclature Nacres: NA.46

 Afficher plus de versions de ce produit

Code produit. 18686795

  • 326.00€ / 100µL

Veuillez vous pour pouvoir commander cet article. Besoin d'un compte web? Créer le vôtre dès maintenant!

Les retours ne sont pas autorisés pour ce produit. Afficher la politique du retour.

Description

Description

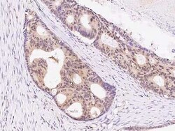
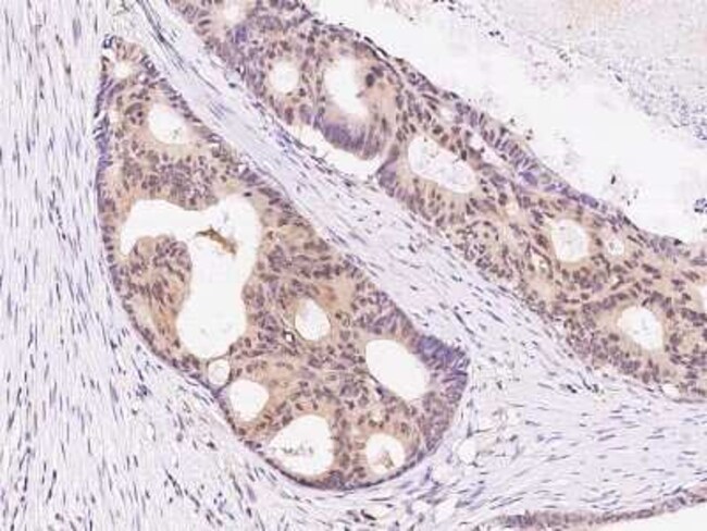
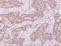
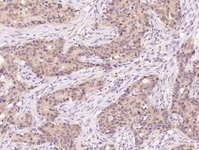
IKK alpha Polyclonal antibody specifically detects IKK alpha in Human samples. It is validated for Immunocytochemistry/ Immunofluorescence, Immunohistochemistry (Paraffin)
TRUSTED_SUSTAINABILITY
Spécification

Spécification

IKK alpha
Polyclonal
Immunocytochemistry/Immunofluorescence 1:100-1:500, Immunohistochemistry-Paraffin 1:200-1:1000
conserved helix-loop-helix ubiquitous kinaseIKBKA, EC 2.7.11, EC 2.7.11.10, IkappaB kinase, I-kappa-B kinase 1, I-kappa-B kinase alpha, IkBKA, IKK1I-kappa-B kinase-alpha, IKK-A, IKKAIkB kinase alpha subunit, IKK-alphainhibitor of nuclear factor kappa-B kinase subunit alpha, NFKBIKAIKK-a kinase, Nuclear factor NFkappaB inhibitor kinase alpha, Nuclear factor NF-kappa-B inhibitor kinase alpha, TCF16, TCF-16, Transcription factor 16
Produced in rabbits immunized with a synthetic peptide corresponding to the N-terminus of the Human IKK alpha.
100 μg
Cancer, DNA Repair, DNA replication Transcription Translation and Splicing, Immunology, Innate Immunity, mTOR Pathway, Protein Kinase, Signal Transduction
1147
Store at 4°C short term. Aliquot and store at -20°C long term. Avoid freeze-thaw cycles.
IgG
Immunofluorescence, Immunohistochemistry (Paraffin)
Unconjugated
0.2 μm filtered solution in PBS
Rabbit
Antigen and protein A Affinity-purified
RUO
Primary
Human
Purified
Suggestions de produits

Suggestions de produits

Vidéos
FDS
Documents

Documents

Certificats
Promotions

Promotions

Correction du contenu d'un produit

Veuillez fournir vos retours sur le contenu du produit en remplissant le formulaire ci-dessous.

Nom du produit

En cliquant sur Soumettre, vous reconnaissez que vous pouvez être contacté par Fisher Scientific au sujet des informations que vous avez fournies dans ce formulaire. Nous ne partagerons pas vos informations à d'autres fins. Toutes les informations de contact fournies seront également conservées conformément à notre politique de confidentialité. Politique de confidentialité.

Merci de nous aider à améliorer notre site web. Votre commentaire a été soumis