missing translation for 'onlineSavingsMsg'
Learn More

Invitrogen™ IPO5 Polyclonal Antibody
GREENER_CHOICE

Rabbit Polyclonal Antibody

Marque:  Invitrogen™ PA563317

Code nomenclature Nacres: NA.46

Code produit. 15751092

  • 566.00€ / 100µL

Veuillez vous pour pouvoir commander cet article. Besoin d'un compte web? Créer le vôtre dès maintenant!

Les retours ne sont pas autorisés pour ce produit. Afficher la politique du retour.

Description

Description

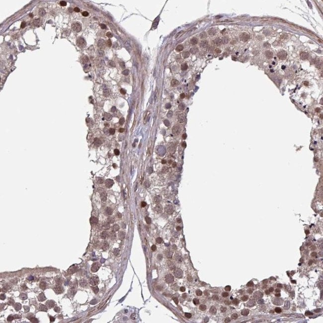
Immunogen sequence: MPEDQVGKLE ATENTISAMA Highest antigen sequence identity to the following orthologs: Mouse - 45%, Rat - 45%.

Nucleocytoplasmic transport, a signal- and energy-dependent process, takes place through nuclear pore complexes embedded in the nuclear envelope. The import of proteins containing a nuclear localization signal (NLS) requires the NLS import receptor, a heterodimer of importin alpha and beta subunits also known as karyopherins. Importin alpha binds the NLS-containing cargo in the cytoplasm and importin beta docks the complex at the cytoplasmic side of the nuclear pore complex. In the presence of nucleoside triphosphates and the small GTP binding protein Ran, the complex moves into the nuclear pore complex and the importin subunits dissociate. Importin alpha enters the nucleoplasm with its passenger protein and importin beta remains at the pore. Interactions between importin beta and the FG repeats of nucleoporins are essential in translocation through the pore complex. The protein encoded by this gene is a member of the importin beta family.
TRUSTED_SUSTAINABILITY
Spécification

Spécification

IPO5
Polyclonal
Unconjugated
IPO5
1110011C18Rik; 5730478E03Rik; AA409333; C76941; IMB3; imp5; importin 5; importin beta-3 subunit; importin subunit beta-3; Importin-5; IPO 5; IPO5; karyopherin (importin) beta 3; Karyopherin beta 3; karyopherin beta-3; Kpnb3; MGC2068; Pse1; RAN binding protein 5; Ran_GTP binding protein 5; ran-binding protein 5; RanBP 5; Ranbp5
Rabbit
Antigen affinity chromatography
RUO
3843
Store at 4°C short term. For long term storage, store at -20°C, avoiding freeze/thaw cycles.
Liquid
Immunohistochemistry (Paraffin)
0.05 mg/mL
PBS with 40% glycerol and 0.02% sodium azide; pH 7.2
O00410
IPO5
Recombinant protein corresponding to Human IPO5. Recombinant protein control fragment (Product #RP-103261).
100 μL
Primary
Human
Antibody
IgG
Suggestions de produits

Suggestions de produits

Vidéos
FDS
Documents

Documents

Certificats
Promotions

Promotions

Correction du contenu d'un produit

Veuillez fournir vos retours sur le contenu du produit en remplissant le formulaire ci-dessous.

Nom du produit

En cliquant sur Soumettre, vous reconnaissez que vous pouvez être contacté par Fisher Scientific au sujet des informations que vous avez fournies dans ce formulaire. Nous ne partagerons pas vos informations à d'autres fins. Toutes les informations de contact fournies seront également conservées conformément à notre politique de confidentialité. Politique de confidentialité.

Merci de nous aider à améliorer notre site web. Votre commentaire a été soumis