missing translation for 'onlineSavingsMsg'
Learn More
Learn More
Invitrogen™ Kir2.1 (KCNJ2) Polyclonal Antibody

Rabbit Polyclonal Antibody
Marque: Invitrogen™ PA5103002
Les retours ne sont pas autorisés pour ce produit.
Afficher la politique du retour.
Description
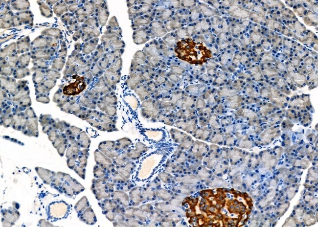
Antibody detects endogenous levels of total KCNJ2.
The KIR2 subunit family includes 2. 1, 2. 2, 2. 3 and 2. 4. Unlike G protein-coupled KIR3 subunits, KIR2. 1 requires both phosphorylation by PKA and ATP hydrolysis for functional activity. KIR2. 1 is expressed in the superior and inferior collicula and the pontine region of the brain, where it moderates synaptic transmission, like many other potassium channels. In the placenta, KIR2. 1 is expressed throughout gestation in cytotrophoblast cells. In the kidney, KIR2. 1 colocalizes with KIR5. 1 in the proximal tubule. KIR2. 1, 2. 2 and 2. 3 associate with the membrane-associated guanylate kinase synapseassociated protein 97 in the cerebellum and heart. Phosphorylation of KIR2. 2 by protein kinase A inhibits the associates with SAP97.
Spécification
| Kir2.1 (KCNJ2) | |
| Polyclonal | |
| Unconjugated | |
| Kcnj2 | |
| ATFB9; cardiac inward rectifier KIR2.1; cardiac inward rectifier potassium channel; EGK_08925; HHBIRK1; HHIRK 1; HHIRK1; HIRK 1; hIRK1; Inward rectifier K; inward rectifier K(+) channel Kir2.1; inward rectifier K+ channel KIR2.1; inward rectifier potassium channel; inward rectifier potassium channel 2; inwardly rectifying potassium channel Kir2.1; IRK 1; IRK1; IRK-1; IRK2; Kcnf1; KCNJ2; KIR2.1; LQT 7; LQT7; Potassium channel, inwardly rectifying subfamily J member 2; potassium channel, inwardly rectifying subfamily J, member 2; potassium inwardly rectifying channel subfamily J member 2; potassium inwardly-rectifying channel, subfamily J, member 2; potassium voltage-gated channel subfamily J member 2; RBL-IRK1; SQT 3; SQT3 | |
| Rabbit | |
| Affinity Chromatography | |
| RUO | |
| 3759 | |
| -20°C | |
| Liquid |
| Immunohistochemistry (Paraffin), Western Blot, Immunocytochemistry | |
| 1 mg/mL | |
| PBS with 50% glycerol and 0.02% sodium azide; pH 7.4 | |
| P63252 | |
| Kcnj2 | |
| A synthesized peptide derived from human KCNJ2(Accession P63252), corresponding to amino acid residues N372-R422. | |
| 100 μL | |
| Primary | |
| Human | |
| Antibody | |
| IgG |
Correction du contenu d'un produit
Veuillez fournir vos retours sur le contenu du produit en remplissant le formulaire ci-dessous.
Nom du produit
Vous avez repéré une opportunité d'amélioration ?Partager une correction de contenu