missing translation for 'onlineSavingsMsg'
Learn More

Invitrogen™ LMO2 Recombinant Rabbit Monoclonal Antibody (9H9)

Rabbit Recombinant Monoclonal Antibody

Marque:  Invitrogen™ MA549991

Code nomenclature Nacres: NA.46

Code produit. 17969092

  • 425.00€ / 100µL

Veuillez vous pour pouvoir commander cet article. Besoin d'un compte web? Créer le vôtre dès maintenant!

Les retours ne sont pas autorisés pour ce produit. Afficher la politique du retour.

Description

Description

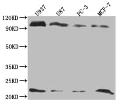
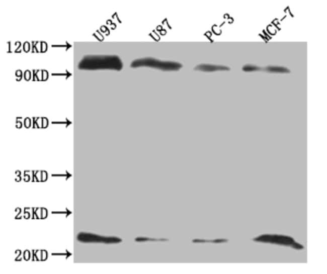
LMO2 Recombinant Monoclonal Antibody for Western Blot, ELISA

LMO2 encodes a cysteine-rich, two LIM-domain protein that is required for yolk sac erythropoiesis. The LMO2 protein has a central and crucial role in hematopoietic development and is highly conserved. The LMO2 transcription start site is located approximately 25 kb downstream from the 11p13 T-cell translocation cluster (11p13 ttc), where a number T-cell acute lymphoblastic leukemia-specific translocations occur. Alternative splicing results in multiple transcript variants encoding different isoforms.
TRUSTED_SUSTAINABILITY
Spécification

Spécification

LMO2
Recombinant Monoclonal
0.38 mg/mL
PBS with 50% glycerol and 0.02% sodium azide; pH 7.4
P25791
Lmo2
A synthesized peptide derived from human LMO2.
100 μL
Primary
Human
Antibody
IgG
ELISA, Western Blot
9H9
Unconjugated
Lmo2
cysteine-rich protein TTG-2; LIM domain only 2; LIM domain only 2 (rhombotin-like 1); LIM domain only protein 2; LIM domain only-2; LIM only 2; LMO2; LMO-2; LMO2 protein; Rbtn2; Rbtn-2; RBTNL1; RHOM2; Rhom-2; rhombotin 2; rhombotin-2; rhombotin-like 1; si:dkey-10o6.5; T-cell translocation gene 2; T-cell translocation protein 2; TTG2; wu:fc83a08; zgc:111930; zlmo2
Rabbit
Affinity Chromatography
RUO
4005
-20°C or -80°C if preferred
Liquid
Suggestions de produits

Suggestions de produits

Vidéos
FDS
Documents

Documents

Certificats
Promotions

Promotions

Correction du contenu d'un produit

Veuillez fournir vos retours sur le contenu du produit en remplissant le formulaire ci-dessous.

Nom du produit

En cliquant sur Soumettre, vous reconnaissez que vous pouvez être contacté par Fisher Scientific au sujet des informations que vous avez fournies dans ce formulaire. Nous ne partagerons pas vos informations à d'autres fins. Toutes les informations de contact fournies seront également conservées conformément à notre politique de confidentialité. Politique de confidentialité.

Merci de nous aider à améliorer notre site web. Votre commentaire a été soumis