missing translation for 'onlineSavingsMsg'
Learn More
Learn More
Invitrogen™ LXR alpha Polyclonal Antibody

Rabbit Polyclonal Antibody
Marque: Invitrogen™ PA520880
Les retours ne sont pas autorisés pour ce produit.
Afficher la politique du retour.
Description
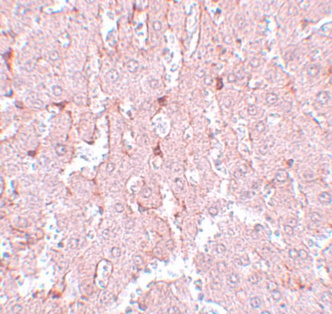
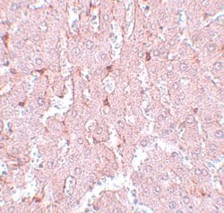
A suggested positive control is rat liver tissue lysate. PA5-20880 can be used with blocking peptide PEP-0994.
NR1H3 (oxysterols receptor LXR-alpha) is a nuclear receptor that exhibits a ligand-dependent transcriptional activation activity. Its interaction with retinoic acid receptor (RXR) shifts RXR from its role as a silent DNA-binding partner to an active ligand-binding subunit in mediating retinoid responses through target genes defined by LXRES. LXRES are DR4-type response elements characterized by direct repeats of two similar hexanucleotide half-sites spaced by four nucleotides. NR1H3 plays an important role in the regulation of cholesterol homeostasis, regulating cholesterol uptake through MYLIP-dependent ubiquitination of LDLR, VLDLR, and LRP8. It also interplays functionally with RORA for the regulation of genes involves in liver metabolism.
Spécification
| LXR alpha | |
| Polyclonal | |
| Unconjugated | |
| NR1H3 | |
| AU018371; liver X nuclear receptor alpha variant 1; liver X receptor alpha; LXR; LXR alpha; Lxra; LXR-a; LXRalpha; LXRb; NER; NERI; NR1H2; Nr1h3; nuclear orphan receptor LXR-alpha; nuclear oxysterol receptor LxR-alpha; nuclear receptor subfamily 1 group H member 3; nuclear receptor subfamily 1, group H, member 3; oxysterols receptor LXR-alpha; RLD1; RLD-1; ubiquitously-expressed nuclear receptor 1; Unr1 | |
| Rabbit | |
| Antigen Affinity Chromatography | |
| RUO | |
| 10062, 22259, 58852 | |
| Maintain refrigerated at 2-8°C for up to 3 months. For long term storage store at -20°C | |
| Liquid |
| Immunohistochemistry, Western Blot | |
| 1 mg/mL | |
| PBS with 0.02% sodium azide | |
| Q13133, Q62685, Q9Z0Y9 | |
| NR1H3 | |
| A 15 amino acid peptide from near the amino terminus human LXR-A. | |
| 100 μg | |
| Primary | |
| Human, Mouse, Rat | |
| Antibody | |
| IgG |
Product Content Correction
Your input is important to us. Please complete this form to provide feedback related to the content on this product.
Product Title
Spot an opportunity for improvement?Share a Content Correction