Learn More
Invitrogen™ NDE1 Polyclonal Antibody

Rabbit Polyclonal Antibody
Marque: Invitrogen™ PA596583
Description
Immunogen sequence: MEDSGKTFSS EEEEANYWKD LAMTYKQRAE NTQEELREFQ EGSREYEAEL ETQLQQIETR NRDLLSENNR LRMELETIKE KFEVQHSEGY RQISALEDDL AQTKAIKDQL; Positive Samples: HeLa, HepG2, SKOV3, MCF7, A673, Mouse heart, Mouse lung; Cellular Location: Chromosome, Cleavage furrow, Cytoplasm, centromere, centrosome, cytoskeleton, kinetochore, microtubule organizing center, spindle.
NDE1 is s a member of the nuclear distribution E (NudE) family of proteins. It is localized at the centrosome and interacts with other centrosome components as part of a multiprotein complex that regulates dynein function. NDE1 protein plays an essential role in microtubule organization, mitosis and neuronal migration. Mutations to the gene lead to Lissencephaly 4 (LIS4) and Microhydranencephaly (MHAC).
Spécification
| NDE1 | |
| Polyclonal | |
| Unconjugated | |
| NDE1 | |
| 2810027M15Rik; AU042936; AW822251; HOM-TES-87; LIS1-interacting protein NUDE1; LIS1-interacting protein NUDE1, rat homolog; LIS4; MHAC; mNudE; NDE; NDE1; nuclear distribution gene E homolog 1; nuclear distribution gene E homolog 1 (A nidulans); nuclear distribution protein nudE homolog 1; NudE; nudE neurodevelopment protein 1; nudE nuclear distribution E homolog 1; nudE nuclear distribution gene E homolog 1; Nude1; rNudE | |
| Rabbit | |
| Affinity chromatography | |
| RUO | |
| 54820, 67203, 83836 | |
| -20°C, Avoid Freeze/Thaw Cycles | |
| Liquid |
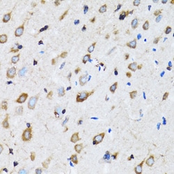
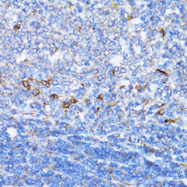
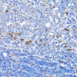
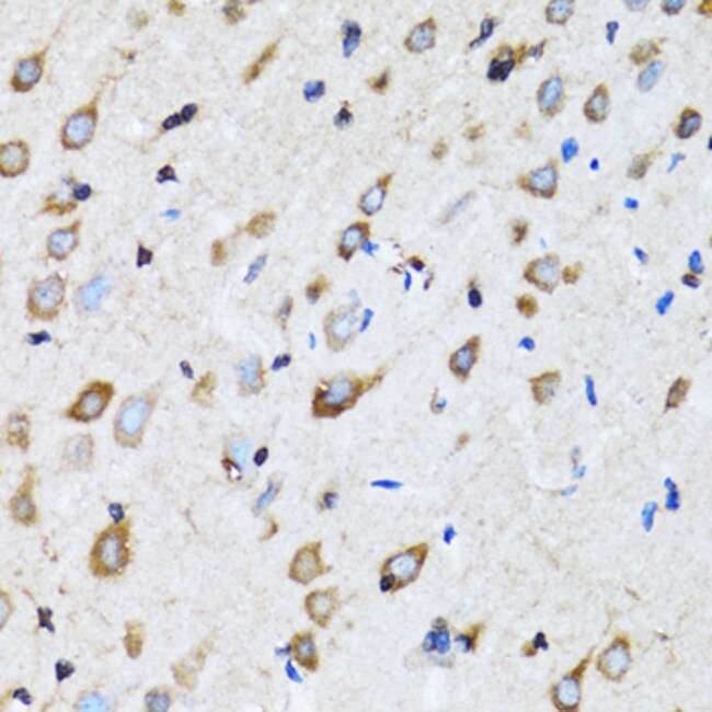
| ELISA, Immunohistochemistry (Paraffin), Western Blot | |
| 0.74 mg/mL | |
| PBS with 50% glycerol and 0.02% sodium azide; pH 7.3 | |
| Q9CZA6, Q9ES39, Q9NXR1 | |
| NDE1 | |
| Recombinant fusion protein containing a sequence corresponding to amino acids 1-110 of human NDE1 (NP_0601381). | |
| 100 μL | |
| Primary | |
| Human, Mouse, Rat | |
| Antibody | |
| IgG |
Veuillez fournir vos retours sur le contenu du produit en remplissant le formulaire ci-dessous.