missing translation for 'onlineSavingsMsg'
Learn More

NM23-H2/NME2 Mouse anti-Human, Clone: 2000, Novus Biologicals™

Code produit 18284133 Tous les produits Bio Techne Produits
Change view
Click to view available options
Quantité:
50 μL
100 μL
Conditionnement:
100µL
50µL
2 product options available for selection
Product selection table with 2 available options. Use arrow keys to navigate and Enter or Space to select.
Code produit Quantité unitSize
18284133 50 μL 50µL
18238411 100 μL 100µL
Use arrow keys to navigate between rows. Press Enter or Space to select a product option. 2 options available.
2 options
Les retours ne sont pas autorisés pour ce produit. Afficher la politique du retour.
Code produit 18284133 Fournisseur Novus Biologicals Code fournisseur NBP26024150UL

Veuillez vous pour pouvoir commander cet article. Besoin d'un compte web? Créer le vôtre dès maintenant!

Les retours ne sont pas autorisés pour ce produit. Afficher la politique du retour.

Mouse Monoclonal Antibody

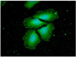
NM23-H2/NME2 Monoclonal specifically detects NM23-H2/NME2 in Human samples. It is validated for Western Blot, ELISA, Immunocytochemistry/Immunofluorescence.
TRUSTED_SUSTAINABILITY

Spécification

Antigène NM23-H2/NME2
Applications Western Blot, ELISA, Immunocytochemistry, Immunofluorescence
Classification Monoclonal
Clone 2000
Concentration 1 mg/mL
Conjugué Unconjugated
Dilution Western Blot 1:1000, ELISA 1:100 - 1:2000, Immunocytochemistry/Immunofluorescence 1:100
Formule PBS, pH 7.2, containing 40% glycerol with 0.02% Sodium Azide
Alias de gène EC 2.7.13.3, Histidine protein kinase NDKB, MGC2212, NDK B, NDKB, NDPKB, NDPK-B, nm23-H2, non-metastatic cells 2, protein (NM23B) expressed in, nucleoside diphosphate kinase B, protein (NM23) expressed in
Symboles de gène(s) NME2
Espèces hôtes Mouse
Immunogène Recombinant human NME2 (1-152aa) purified from E. coli
Méthode de purification Protein A purified
Quantité 50 μL
État réglementaire RUO
Disciplines de recherche Cell Cycle and Replication, Core ESC Like Genes, Stem Cell Markers
Primaire ou secondaire Primary
Identification génétique (Entrez) 4831
Espèces cibles Human
Contenu et stockage Store at 4C short term. Aliquot and store at -20C long term. Avoid freeze-thaw cycles.
Forme Purified
Isotype IgG1 κ
Afficher plus Afficher moins

RUO

Nom du produit
Sélectionnez un problème

En cliquant sur Soumettre, vous reconnaissez que vous pouvez être contacté par Fisher Scientific au sujet des informations que vous avez fournies dans ce formulaire. Nous ne partagerons pas vos informations à d'autres fins. Toutes les informations de contact fournies seront également conservées conformément à notre politique de confidentialité. Politique de confidentialité.