missing translation for 'onlineSavingsMsg'
Learn More

Perlecan Monoclonal Antibody (A7L6), Invitrogen™

Rat Monoclonal Antibody

Marque:  Invitrogen MA514641

Code nomenclature Nacres: NA.46

Code produit. 11365113

Cet article est supprimé, vous trouverez le remplacement et les alternatives dans les onglets respectifs ci-dessous s'ils ont été identifiés
Voir les produits de remplacement »

Les retours ne sont pas autorisés pour ce produit. Afficher la politique du retour.

Description

Description

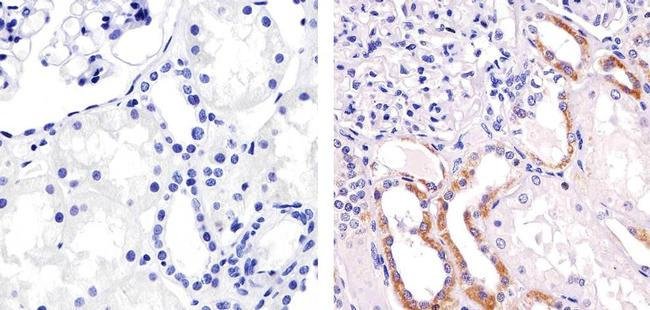
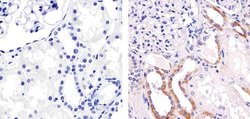
MA5-14641 targets Perlecan in IF, IHC (F), and IHC (P, F) applications and shows reactivity with Bovine, Human, mouse, and Porcine samples. The MA5-14641 immunogen is mouse EHS laminin preparation.

Perlecan is a major heparan-sulfate proteoglycan (HSPG) found within all basement membranes and cell surfaces. Because of its strategic location and ability to store and protect growth factors, perlecan has been strongly implicated in the control of tumor cell growth and metastatic behavior. Perlecan possesses angiogenic and growth-promoting attributes primarily by acting as a coreceptor for basic fibroblast growth factor (FGF-2). Suppression of perlecan causes substantial inhibition of neoplastic growth and neovascularization. Thus, perlecan is a potent inducer of neoplasm growth and angiogenesis in vivo and therapeutic interventions targeting this key modulator of tumor progression may improve neoplastic treatment.
TRUSTED_SUSTAINABILITY
Spécification

Spécification

Perlecan
Monoclonal
0.2 mg/mL
PBS with 0.2% BSA and 0.09% sodium azide; pH 7.4
P98160, Q05793
HSPG2
Murine EHS laminin preparation
500 μL
Primary
Bovine, Human, Mouse, Pig
Antibody
IgG2a κ
Immunohistochemistry (Frozen), Immunohistochemistry (Paraffin)
A7L6
Unconjugated
HSPG2
AI852380; Basement membrane-specific heparan sulfate proteoglycan core protein; Endorepellin; endorepellin (domain V region); heparan sulfate proteoglycan 2; HSPG; Hspg2; LG3 peptide; LOC313641; Pcn; per; perlecan; perlecan (heparan sulfate proteoglycan 2); perlecan proteoglycan; PLC; PRCAN; RP11-132G19.2; SJA; SJS; SJS1
Rat
Protein G
RUO
100517288, 15530, 3339, 444872
4° C
Liquid
Suggestions de produits

Suggestions de produits

Vidéos
FDS
Documents

Documents

Certificats
Promotions

Promotions

Product Content Correction

Your input is important to us. Please complete this form to provide feedback related to the content on this product.

Product Title

By clicking Submit, you acknowledge that you may be contacted by Fisher Scientific in regards to the feedback you have provided in this form. We will not share your information for any other purposes. All contact information provided shall also be maintained in accordance with our Privacy Policy.

Thank You! Your feedback has been submitted. Fisher Scientific is always working to improve our content for you. We appreciate your feedback.