missing translation for 'onlineSavingsMsg'
Learn More
Learn More
Invitrogen™ Phospho-CREB (Ser133) Recombinant Rabbit Monoclonal Antibody (HL2776)

Rabbit Recombinant Monoclonal Antibody
Marque: Invitrogen™ MA556657
Les retours ne sont pas autorisés pour ce produit.
Afficher la politique du retour.
Description
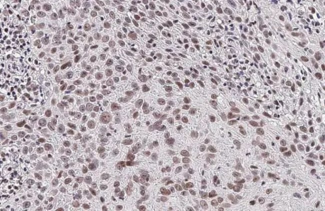
Phospho-CREB (Ser133) Recombinant Monoclonal Antibody for Western Blot, IHC (P)
CREB (Cyclic AMP response element binding protein) is a 43 kDa basic/leucine zipper transcription factor that binds the cyclic AMP response element (CRE) and activates transcription in response to a variety of extracellular signals including neurotransmitters, hormones, membrane depolarization, and growth and neurotrophic factors. Activation of CREB is dependent upon the phosphorylation of serine 133. Phosphorylation of CREB occurs via p44/42 MAP kinase and p90RSK, and via p38 MAP kinase and MSK1. Although CREB will bind DNA independent of its phosphorylation state, only the phosphorylated form is competent as a transcription factor. CREB binding protein (CBP), a transcriptional coactivator that directly interacts with CREB, binds to CREB in the region of serine 133. CREB is involved in different cellular processes including the synchronization of circadian rhythmicity, differentiation of adipose cells, and learning and memory. In humans, the gene is located on the q arm of chromosome 2. Diseases associated with CREB dysfunction include Alzheimer's Disease, histiocytoma and soft tissue melanoma.
Spécification
| Phospho-CREB (Ser133) | |
| Recombinant Monoclonal | |
| 1 mg/mL | |
| PBS with no preservative | |
| P16220, Q01147 | |
| CREB1, CrebB | |
| Carrier-protein conjugated synthetic peptide surrounding phospho Ser133 of human CREB1. The exact sequence is proprietary. | |
| 100 μL | |
| Primary | |
| Human, Mouse | |
| Antibody | |
| IgG |
| Immunohistochemistry (Paraffin), Western Blot | |
| HL2776 | |
| Unconjugated | |
| CREB1 | |
| 2310001E10Rik; 3526402H21Rik; active transcription factor CREB; AV083133; cAMP response element binding protein 1; cAMP responsive element binding protein 1; cAMP-response element-binding protein-1; cAMP-responsive element-binding protein 1; CREB; CREB1; Creb-1; cyclic adenosine 3',5'-monophosphate response element-binding protein CREB; cyclic AMP-responsive element-binding protein 1; htCREB; MGC9284; OTTHUMP00000206661; OTTHUMP00000206662; OTTHUMP00000206667; transactivator protein; Y protein | |
| Rabbit | |
| Protein A | |
| RUO | |
| 12912, 1385 | |
| -20°C, Avoid Freeze/Thaw Cycles | |
| Liquid |
Correction du contenu d'un produit
Veuillez fournir vos retours sur le contenu du produit en remplissant le formulaire ci-dessous.
Nom du produit
Vous avez repéré une opportunité d'amélioration ?Partager une correction de contenu