missing translation for 'onlineSavingsMsg'
Learn More

RPLP1 Antibody - BSA Free, Novus Biologicals™

Code produit 30559457 Tous les produits Bio Techne Produits
Change view
Click to view available options
Quantité:
100 μg
Conditionnement:
100µg
1 product options available for selection
Product selection table with 1 available options. Use arrow keys to navigate and Enter or Space to select.
Code produit Quantité unitSize
30559457 100 μg 100µg
Use arrow keys to navigate between rows. Press Enter or Space to select a product option. 1 options available.
1 options
Les retours ne sont pas autorisés pour ce produit. Afficher la politique du retour.
Code produit 30559457 Fournisseur Novus Biologicals Code fournisseur NBP346669

Veuillez vous pour pouvoir commander cet article. Besoin d'un compte web? Créer le vôtre dès maintenant!

Les retours ne sont pas autorisés pour ce produit. Afficher la politique du retour.

Rabbit Polyclonal Antibody

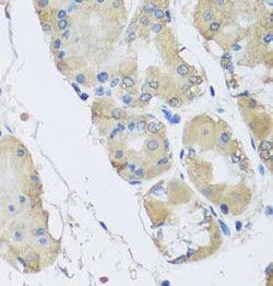
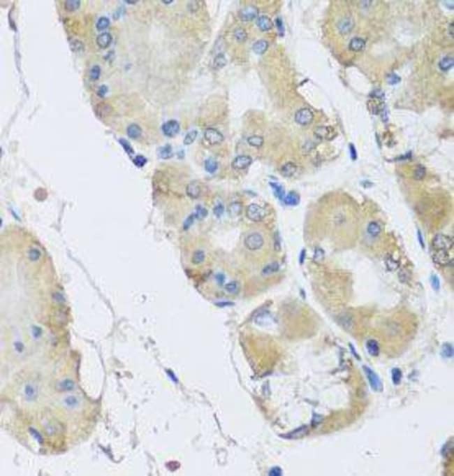
RPLP1 Polyclonal antibody specifically detects RPLP1 in Human,Mouse,Rat samples. It is validated for ELISA,Immunohistochemistry,Western Blot,Immunocytochemistry/ Immunofluorescence
TRUSTED_SUSTAINABILITY

Spécification

Antigène RPLP1
Applications ELISA, Immunohistochemistry, Western Blot, Immunocytochemistry/Immunofluorescence
Classification Polyclonal
Conjugué Unconjugated
Dilution Western Blot 1:500 - 1:2000, ELISA, Immunohistochemistry 1:50 - 1:200, Immunocytochemistry/ Immunofluorescence 1:50 - 1:100
Formule PBS, 50% Glycerol, pH (7.3)
Alias de gène acidic ribosomal phosphoprotein P1, FLJ27448, MGC5215, P1,60S acidic ribosomal protein P1, ribosomal protein, large, P1, RPP1, RRP1
Espèces hôtes Rabbit
Immunogène ribosomal protein, large, P1. (Uniprot# P05386)
Méthode de purification Immunogen affinity purified
Quantité 100 μg
État réglementaire RUO
Primaire ou secondaire Primary
Identification génétique (Entrez) 6176
Espèces cibles Human, Mouse, Rat
Contenu et stockage Store at -20°C. Avoid freeze-thaw cycles.
Forme Purified
Isotype IgG
Afficher plus Afficher moins
Nom du produit
Sélectionnez un problème

En cliquant sur Soumettre, vous reconnaissez que vous pouvez être contacté par Fisher Scientific au sujet des informations que vous avez fournies dans ce formulaire. Nous ne partagerons pas vos informations à d'autres fins. Toutes les informations de contact fournies seront également conservées conformément à notre politique de confidentialité. Politique de confidentialité.