missing translation for 'onlineSavingsMsg'
Learn More
Learn More
Invitrogen™ VGLUT1 Recombinant Rabbit Monoclonal Antibody (HL3210)

Rabbit Recombinant Monoclonal Antibody
Marque: Invitrogen™ MA556914
Les retours ne sont pas autorisés pour ce produit.
Afficher la politique du retour.
Description
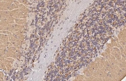
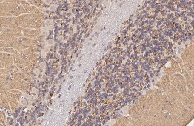
VGLUT1 Recombinant Monoclonal Antibody for Western Blot, IHC (P)
A Na(+)-dependent inorganic phosphate cotransporter; may be involved in neuronal Na+ transport.
Spécification
| VGLUT1 | |
| Recombinant Monoclonal | |
| 1 mg/mL | |
| PBS with no preservative | |
| Q3TXX4, Q62634 | |
| SLC17A7 | |
| Recombinant protein encompassing a sequence within the Intracellular domain of mouse VGluT1. The exact sequence is proprietary. | |
| 100 μL | |
| Primary | |
| Mouse, Rat | |
| Antibody | |
| IgG |
| Immunohistochemistry (Paraffin), Western Blot | |
| HL3210 | |
| Unconjugated | |
| SLC17A7 | |
| 2900052E22Rik; AI851913; BNPI; Brain-specific Na(+)-dependent inorganic phosphate cotransporter; brain-specific Na-dependent inorganic phosphate cotransporter; SLC17A1; SLC17A1/VGLUT1; Slc17a7; solute carrier family 17 (sodium-dependent inorganic phosphate cotransporter), member 7; solute carrier family 17 (vesicular glutamate transporter), member 7; solute carrier family 17 member 7; Vesicular glutamate transporter 1; VGlU1; VGLUT 1; VGLUT1 | |
| Rabbit | |
| Protein A | |
| RUO | |
| 116638, 72961 | |
| -20°C, Avoid Freeze/Thaw Cycles | |
| Liquid |
Correction du contenu d'un produit
Veuillez fournir vos retours sur le contenu du produit en remplissant le formulaire ci-dessous.
Nom du produit
Vous avez repéré une opportunité d'amélioration ?Partager une correction de contenu